こんにちは北戸田coco歯科です!
お子さんの歯が生え始めたとき「前歯が大きい」「乳歯がくっついている」と驚いたことはありませんか?
それは「癒合歯(ゆごうし)」や「癒着歯(ゆちゃくし)」と呼ばれる歯の異常の一つです。癒合歯や癒着歯は、見た目だけでなく永久歯の生え方や噛み合わせに影響を及ぼすこともあります。
本記事では、癒合歯と癒着歯の特徴や影響・治療法・家庭でできるケアについて、わかりやすく解説します。
\北戸田COCO歯科からのお知らせです/北戸田COCO歯科の提携院である「武蔵浦和COCO歯科」が武蔵浦和駅にオープンしました!
常勤の保育士が駐在している託児所や広々とした授乳室、キッズスペースをご用意し、親子で安心して通える歯科医院です。
一般歯科、予防歯科、小児歯科、矯正歯科、インプラント治療まで幅広く対応でき、北戸田COCO歯科と同様の治療が武蔵浦和でも可能です!
お気軽にどんなお悩みでもご相談ください。
🦷武蔵浦和COCO歯科ホームページ🦷

◽️癒合歯や癒着歯ってなに?
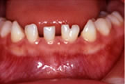
隣り合う2本の歯がくっついて1本になっているものを「癒合歯(ゆごうし)」や「癒着歯(ゆちゃくし)」と言います。
神経同士がくっついている状態を癒合歯、神経が別々になっている状態が癒着歯となります。

引用:日本小児歯科学会
簡単に言うと、歯がくっついてる場所の深さで名称が違うということですが、臨床的には隣同士の歯がくっついているものは全て癒合歯と呼ぶことが多いです。
2本の歯がくっついているものがほとんどですが、稀に3本の歯がくっついている「3歯癒合」が見られることもあります。
詳しい症状を知るためにはレントゲン撮影が必要です。
◼️癒合歯ができやすい歯はあるの?
癒合歯は、乳歯に3〜4%の確率で出るのに対し、永久歯では0.3%ほどと圧倒的に子供の歯に起こりやすい異常です。
癒合歯が最も多いのは下の前歯で、とりわけ1番目と2番目がくっついているパターン、そして2番目と3番目の歯がくっついているパターンがよく見られます。
奥歯の癒合歯も存在しますが、発現することは非常に稀です。
また、癒合歯の発現率は人種によっても差があり、日本人は白人に比べて癒合歯が発現しやすい傾向があります。
◼️癒合歯の原因は?
癒合歯のはっきりとした原因はわかっていません。
妊娠中の母親の栄養不足、薬物の影響、病気、ビタミンAの過剰摂取、胎児へのウイルス感染などが関係していると言われています。
また、人間の進化の過程で顎が小さくなったことが原因という説もあります。
◼️子どもの歯の成長は十人十色!
癒合歯があると「発達に問題があるのではないか」と不安になる方もいるでしょう。
しかし、子供の歯の成長は非常に個人差が大きく、発達に異常がある=癒合歯が生える、というわけではありません。
過度に不安がらずに、焦らず成長をゆっくり見守ってあげましょう。
◽️子供の歯がくっついているとどんな影響がある?

では、癒合歯があると歯にどのような影響があるのでしょうか。ここでは、癒合歯のあるお子さんに起こりやすい歯のトラブルについて詳しく解説します。
◼️永久歯の生え方に影響
癒合歯は、後継永久歯(抜けた後に生えてくる永久歯)の約半数が欠如したり、2本生えてきても位置が悪い場所に生えやすいという特徴があります。
特に2番目と3番目の歯がくっついているパターンの癒合歯は、後から生えてくる永久歯に70%ほどの確率で異常が見られるといった結果もでています。
永久歯が2本ある場合、1.5本分のスペースに2本の歯が並ぶことになるため永久歯が入りきらず、歯がねじれる、外側にはみ出すといった歯並びの乱れを引き起こします。
永久歯が1本足りないというパターンもよく見られますが、歯の本数が不足すると左右対称にならず、噛み合わせのバランスが崩れ、歯並びにも影響を及ぼすことがあります。
また、非常に稀ではありますが永久歯も癒合歯になっている場合もあります。
◼️自然に抜けにくい
通常の乳歯は、後継永久歯が乳歯の根を溶かして吸収する「歯根吸収」という現象が起きることで、グラグラしてきて自然に抜け落ちます。
しかし、癒合歯は歯根吸収が正常に行われないことが多いため、自然な生え替わりができないことがあります。
レントゲンで後継永久歯や歯根吸収の状態を確認し、自然に生え変わるのが難しいと判断した場合は抜歯が必要です。
◼️むし歯や歯周病のリスクが高まる
癒合歯は、形が複雑で溝に汚れがたまりやすいため、むし歯や歯周病のリスクが上がります。
乳歯は永久歯に比べてエナメル質が柔らかく、むし歯の進行が早いので注意が必要です。
また、癒合歯は歯髄の形が複雑なため、むし歯が進行して神経治療が必要になると治療の負担がより大きくなってしまいます。
癒合歯は、歯並びや噛み合わせ、むし歯のリスクなどさまざまな影響を及ぼす可能性があります。
癒合歯がどのような影響を及ぼすのかをよく知っておくことで、早めに適切な対処ができます。
◽️癒合歯・癒着歯がある場合の治療法

癒合歯の治療法は、歯の状態や影響の程度によって異なります。ここでは、癒合歯の治療法を紹介していきます。
◼️経過観察
癒合歯は、2つに分断することができないため、正常に噛めているのであれば、経過観察で問題ありません。
永久歯の生え替わりが始まる5歳〜6歳位でレントゲンで永久歯の数などを確認し、生え替わり時期が近づいてきたら定期的に歯科で診てもらうようにしましょう。
永久歯が生える時期を過ぎてもなかなか抜けずに癒合歯が残ってしまっている場合は、レントゲンで歯根の吸収具合を確認し、抜歯をすることもあります。
◼️むし歯の治療と予防
癒合歯のむし歯予防には、シーラントが効果的です。
シーラントはレジンというプラスチック材で歯の溝を詰める予防処置です。癒合歯は溝の部分がむし歯になりやすいため、シーラントで溝を埋めることで、むし歯のリスクを下げることができます。
また、フッ素には歯を強くし、むし歯を防ぐ効果があります。歯科検診の際に定期的に塗布してもらうと良いでしょう。
◼️矯正治療
癒合歯が生え変わってから歯並びや噛み合わせに影響が出た場合は、矯正治療が必要です。
矯正治療では、床装置やワイヤーなどの装置を使用し、噛み合わせや歯並びを正常な状態にさせていきます。
骨が柔らかく、歯の生え替わりを利用できる成長期のうちに治療を開始するのが理想的です。
癒合歯の治療は、症状に応じて慎重に進めることが大切です。歯科医師とコミュニケーションを取りながら、成長に合わせた治療を心がけましょう。
◽️ホームケアで気をつけたいこと

子供の歯の健康を守るためには、日々のケアがとても大切です。
ここでは、癒合歯のあるお子さんのためのホームケアのポイントをわかりやすく紹介します。
◼️丁寧な歯磨きを心がける
癒合歯は溝が深いので、歯ブラシでしっかり汚れを取りましょう。
前歯のむし歯リスクが高いのは3歳未満ですが、癒合歯がある場合は前歯のブラッシングを常に意識する必要があります。
溝の部分は先が小さい「タフトブラシ」を使用して磨くと、汚れが落としやすいのでおすすめです。
◼️フッ素を活用する
フッ素入りの歯磨き粉を活用すれば、手軽にデンタルケアに取り入れることができます。使用する歯磨き粉の量をきちんと守り、しっかり歯磨きしましょう。
◼️食生活に気をつける
チョコレートやキャンディなどのおやつは糖分が多く、むし歯になりやすいため食べ過ぎには要注意です。
キシリトール配合のおやつを上手に取り入れるなどして、歯に優しい食事を心がけましょう。
また、だらだらと食事をすることもむし歯の原因になるので、食事やおやつは、きちんと時間を決めることが大切です。
◼️定期的に歯科検診を受ける
定期的に歯科を受診し、必要に応じた治療を受けることが大切です。
定期的な検診は、早期発見・早期治療につながることはもちろん、不安なことがあれば早めに歯科医に相談できます。
歯科医院を上手に活用し、子供の歯の健康を守ってあげましょう。
癒合歯は汚れがたまりやすいため、丁寧な歯磨きや食生活の工夫が大切です。毎日のケアを習慣にし、歯を健康に保ちましょう。
また、癒合歯を「変わった歯」「将来大変になるかも」と表現すると、お子さんが不安になってしまいます。
「お口に仲良しさんの歯があるね。むし歯にならないようにしっかり磨こうね」のような声かけをし、お子さんと楽しくデンタルケアをしてくださいね。
◽️まとめ
子供に癒合歯や癒着歯が生えるのは珍しいことではありません。しかし、放置するとむし歯や歯並びの問題につながることがあります。
定期的な歯科検診と適切なケアを行うことで、トラブルを防ぐことができます。お子さんの歯に気になることがあれば、早めに歯科医に相談しましょう。
こちらの記事もおすすめ:【乳歯の早期脱落】子供の歯を早い段階で失ってしまったら?放置するリスク

