戸田市大字新曽2002-1 プルメリア北戸田1階

北戸田駅 徒歩1分

土曜も診療

インプラントブログ IMPLANT BLOG

【2025年版】インプラントの相場はいくら?費用・保険の適用条件・注意点を解説!

公開日:

費用・相場

インプラント費用の最新情報を2025年版として解説する表紙画像。認定医の笑顔とインプラント模型つき。

インプラントって高いって聞くけど、実際はいくらくらいするの?

奥歯と前歯で金額は変わる?

保険は使えるの?医療費控除は?

インプラント治療を検討し始めた方の多くが、まず気になる“お金”のこと。

相場がわからないままだと、不安で治療の一歩を踏み出しづらいですよね。

そこで本記事では、

  • 2025年最新データに基づくインプラントの相場
  • 前歯・奥歯で費用が変わる理由
  • 保険適用や医療費控除など制度の活用メリット
  • 相場より安すぎる治療の注意点
  • 実際の症例費用の紹介

など、よくある疑問をまとめてやさしく解説します。

  • 日本補綴歯科学会の専門医
  • 国際口腔インプラント学会の認定医

のダブルライセンスを持つ北戸田COCO歯科院長・田口が、日々患者さまと向き合う中で感じる「費用のリアル」も交えながら、お伝えしていきますね。

歯科医師:田口 耕平
歯科医師:田口

ぜひ最後までご一読いただき、治療費への不安を取り除いてくださいね!

【執筆・監修】
歯科医師 田口耕平(北戸田COCO歯科 院長)

歯科医師:田口 耕平

埼玉県戸田市の歯科医院「北戸田COCO歯科」でインプラント治療を担当する歯科医師。日本大学歯学部卒業。補綴治療・インプラント治療を中心に診療。

▼所属・資格
・日本補綴歯科学会 専門医
・国際口腔インプラント学会(ICOI)認定医
・日本口腔インプラント学会
・日本接着歯学会
・日本糖尿病協会 登録歯科医

▼医師プロフィールはこちら
https://kitatoda-cocoshika.jp/implant/dentist/

武蔵浦和COCO歯科のご案内
北戸田COCO歯科姉妹院:武蔵浦和COCO歯科受付

インプラント治療を、武蔵浦和エリアでご希望の方へ。

当院の姉妹院「武蔵浦和COCO歯科」でも、専門性の高い治療をご提供しています。

  • 女性ドクター在籍で、相談しやすい環境
  • 骨造成を伴う症例や審美性重視の治療にも対応
  • 託児室・プレイルーム完備(常勤の保育士が駐在)

通いやすさやライフスタイルに合わせて、医院をお選びいただけます。

まずはお気軽にご相談ください。

\ 武蔵浦和駅から徒歩1分 /

1:インプラントの相場は?全国平均を解説

インプラント1本あたりの相場(30万〜50万円)や、前歯・奥歯・複数本の費用目安をまとめた図解。

「インプラントって高いんですよね…」という声をよく聞きます。

たしかに保険がきかない自由診療となると、費用の見当がつかず不安になりますよね。

でも、ご安心を!

このパートでは、全国的な相場をはじめ、部位や本数による違いまでわかりやすくご紹介していきます。

歯科医師:田口 耕平
歯科医師:田口

「自分の場合はいくら?」と思いながら読んでいただければ、相場のイメージがぐっと掴みやすくなりますよ。

1-1:全国平均の金額目安

インプラントの費用は、1本あたり約30万〜50万円が全国的な相場とされています。

特に都市部では、35万〜55万円程度が一般的な価格帯です。

歯科医師:田口 耕平
歯科医師:田口

「結局いくらくらい見ておけばいいの?」という方は、まずはざっくり40万円前後を目安にしておくとイメージしやすいでしょう。

公的なデータはあるの?

「学会などが全国平均を発表しているのでは?」と思う方もいるかもしれませんが、実は日本口腔インプラント学会などの公的機関による最新の価格公表はありません

※古いデータで10年前のアンケートの調査結果はあります。

そのため、本記事で紹介する相場情報は、各クリニックや専門サイトの公開内容をもとにした平均的な見積もりになります。

1-2:前歯・奥歯で費用は変わる?

はい、変わります。

前歯のインプラントは、1本あたり約30万〜60万円が相場です。

見た目が目立つ部分だからこそ、色・形の精度が高いセラミック素材が使われたり、審美性を重視した調整料が含まれることもあります。

一方、奥歯のインプラントは1本あたり約30万〜45万円程度が一般的。

こちらは噛む力への耐久性が重視され、素材の強度や骨の状態によって追加処置が必要になるケースがあります。

ただし、前歯ほど見た目への細かい調整が不要なため、費用が抑えられる傾向にあります。

つまり、どちらもそれぞれの“こだわりポイント”に応じて費用に差が出るというわけですね。

歯科医師:田口 耕平
歯科医師:田口

奥歯を失っても「見えないし大丈夫」…と思いがちですが、実は放置すると噛み合わせのバランスが崩れて他の歯にも悪影響が出ることも。

見えなくても、奥歯ってけっこう大事なんです!

1-3:1本・複数本の相場比較

インプラントは本数が増えるほど費用も増加しますが、必ずしも単純な「1本 × 本数分」ではありません。

たとえば医院によっては、

  • 2本目以降は割安になる
  • 同時に手術を行うことで全体の工程が効率化される

といった理由で、まとめて治療することで費用を抑えられるケースもあります。

本数相場目安(税別)備考
1本約30万〜50万円基本費用
(部位や素材により変動)
2本約70万〜85万円同時処置で若干割安に
なることも
3本以上状況に応じて異なる治療計画によっては、
ブリッジや入れ歯と比較・併用

そのため、複数本のインプラント治療では、

  • どの部位に
  • どの素材で
  • どんなペースで治すか

のバランスが重要。

歯科医師:田口 耕平
歯科医師:田口

一度に治療するか、少しずつ進めるかは人それぞれ。

患者さまの「生活スタイル」や「気持ち」に合わせた無理のない治療計画を立ててくれる歯科医師を選ぶことが、納得のいく治療につながります。

では次に、「インプラントの費用はなぜここまで差が出るのか?」その内訳と理由を詳しく見ていきましょう。

2:インプラント相場に差が出る理由と内訳を解説

素材・設備・治療の難易度という3つの要素が、インプラントの相場に影響することを示すイラスト。

インプラントの費用について調べていると、「なんでこんなに幅があるの?」と感じた方も多いのではないでしょうか。

確かに、同じ“1本のインプラント”でも、医院によって価格はさまざま。

  • 使っている素材や設備
  • 治療内容
  • 治療を担当する医師の技術や経験値
  • 立地

などが違えば、そのぶん費用にも差が出て当然です。

歯科医師:田口 耕平
歯科医師:田口

このパートでは、「内訳って何が含まれてるの?」「費用が高くなるのはどんなとき?」といった疑問にお答えしながら、相場が変わる3つの要因をわかりやすく解説していきます。

2-1:費用に含まれる主な内訳

インプラント治療の費用には、いくつかの工程が含まれています。

医院によっては一式まとめた金額を提示しているところもあれば、項目ごとに明細を出しているところもあります。

歯科医師:田口 耕平
歯科医師:田口

一般的な内訳は、以下の通りです。

費用項目相場目安(税別)工程内容
検査・診断料15,000〜50,000円CT・レントゲン撮影
診断用模型など
埋入手術費100,000〜385,000円インプラント本体
手術の技術料など
上部構造
(人工の歯)
50,000〜200,000円セラミックやジルコニアなど
審美素材含む
その他
(再診料・消毒など)
1,500〜10,000円術後の経過観察・処置

※骨が不足している場合は「骨造成」や「サイナスリフト」などの追加処置(+5万〜15万円程度)が必要になることもあります。
※上記は目安金額です。患者さまの状態や歯科医院によって、大きく異なります。
※上記は一般的な内訳の例です。歯科医院によって内訳の項目は異なります。

2-2:相場を左右する3つの要因

インプラントの相場に差が出るのは、主に以下の3つのポイントが関係しています。

インプラントの費用は、見た目の美しさと耐久性を左右する素材選びで大きく変わります。

セラミックやジルコニアなど、見た目が自然で長持ちする素材ほど、費用はやや高くなる傾向にあります。

特に前歯は目立つ部分なので、審美性を重視して選ぶ人が多く、費用差が出やすいポイントです。

また、あごの骨に埋め込む「インプラント体(人工の歯の根っこ)」の種類やブランドによっても費用に差が生まれます。

より高品質なインプラント体(世界的に実績のあるメーカー製など)は、安全性や長期的な安定性に優れている分、やや高額になるケースもあります。

CT撮影やガイド手術、マイクロスコープなどの設備投資がされている医院は、より精密な治療が可能なぶん、基本費用がやや高く設定されていることもあります。

また、歯科医師の経験が豊富で、取得資格等が多い場合には、技術料が高くなるケースが多いです。

骨が少ない・位置が難しい・持病がある、などのケースでは、追加処置や時間のかかる手術が必要になる点や難易度の高い治療に対応できる歯科医が必要になることから、高額になるケースが多いです。

「なんでそんなに高いの?」という疑問も、こうして見ていくと「なるほど」と思えるのではないでしょうか。

歯科医師:田口 耕平
歯科医師:田口

もっと詳しく知りたい方は、こちらの記事も参考になります!

3:保険適用と医療費控除の影響をチェック

保険適用・医療費控除・分割払いなど、インプラント治療の費用負担を軽減する制度を紹介する図解。

インプラント治療は原則として自由診療。

そのため、「高額でも仕方ない」と思っている方も多いかもしれません。

でも実は、ごく一部のケースでは保険が使えることもあり、さらに医療費控除を活用すれば、年間の負担を軽くすることが可能です。

ここでは、

  • 保険が使える条件
  • 医療費控除の仕組み
  • 分割払いやデンタルローンの選択肢について

を、順番にわかりやすく整理して解説していきます。

3-1:保険が使えるケースとは?

インプラントは基本的に自由診療ですが、ごく一部の例外では保険適用が認められることがあります。

適用されるかどうかは、「歯の欠損理由」や「治療を受ける医療機関の条件」によって決まります。

ケース適用条件
① 先天的な疾患生まれつき顎の骨に異常がある、もしくは先天的に6歯以上の欠損がある場合。顎骨の1/3以上が連続して欠けているなど、重度の先天異常に限られます。
② 事故や病気による後天的な欠損交通事故や腫瘍によって顎の骨の1/3以上が失われた場合。
入れ歯やブリッジでは十分な機能回復が難しいと診断される必要があります。

また、インプラント治療に保険を使うには、治療を受ける病院にも条件があります。

多くの場合、大学病院などの大規模医療機関が対象です。

チェック項目適用条件
標榜科目歯科または歯科口腔外科が明記されていること
医師の配置常勤の歯科医師が2名以上在籍していること
診療体制当直体制(24時間対応)が整っていること
歯科医師:田口 耕平
歯科医師:田口

一般的な「むし歯や歯周病による歯の欠損」は、保険適用の対象にはなりません。

ただし、「費用が心配で踏み出せない…」という方でも、次にご紹介する医療費控除の制度を知っておくと、費用負担を軽くできます。

3-2:医療費控除で実質負担が軽くなる

インプラント治療は高額になりやすいですが、一定の条件を満たせば医療費控除の対象となり、確定申告を通じて税金の一部が還付される可能性があります。

正しく申請すれば、実質的に数万円〜十数万円の負担軽減につながることも。

以下のような費用は控除の対象として認められています。

  • 治療前の精密検査・診断料
  • インプラント本体や人工歯の製作費
  • 埋入手術や必要な追加処置の費用(骨造成など)
  • 治療後のメンテナンス費用
  • 通院にかかる交通費(公共交通機関の利用分のみ※)

※自家用車のガソリン代や駐車場代は対象外です。

  • 1年間の医療費が10万円以上(家族分の治療費なども合算可能)
  • 民間保険等で補填されていない実費分のみが対象
  • 控除の上限額は200万円まで
  • 確定申告での申請が必須です

申請には以下の書類が必要です。

  • 歯科医院からの領収書
  • 公共交通機関利用時の交通費の記録
  • 医療費控除の明細書
  • 保険組合などから届く「医療費のお知らせ」
  • 給与所得者の方は源泉徴収票

これらを揃え、e-Taxまたは紙の申告書で確定申告を行いましょう。

還付金の目安額は、以下のケース別のシミュレーションを参考にしてください。

医療費総額控除対象額年収所得税率還付目安
30万円20万円400万円20%約4万円
100万円90万円700万円23%約20万円以上

※実際の還付額は、他の控除や扶養の有無によって変動します。
※医療費控除で申請する医療費総額は、同一世帯の家族の医療費も合算できます。

歯科医師:田口 耕平
歯科医師:田口

治療費を少しでも抑えるためには、この制度を上手に活用することがカギ。

次は、費用負担を和らげる「分割払いやデンタルローン」の選択肢も見ていきましょう。

3-3:分割払いやデンタルローンで無理なく通える選択を

インプラントは保険がきかないケースが多く、まとまった費用負担がネックになる方も少なくありません。

そんなときに選ばれているのが、分割払いやデンタルローンの利用です。

歯科治療専用のローンで、治療費を月々一定額に分けて支払える制度です。

信販会社を通じて契約することで、クレジットカードよりも低金利で長期分割が可能なのが特徴です。

よくある支払いパターン(例)
  • 治療費:50万円
  • 分割回数:36回
  • 金利:実質年率5.0%
  • 月々の支払額:約15,000円前後(※初回のみ若干変動あり)

収入や生活スタイルに合わせて、12回・24回・60回払いなども選べるケースが多いです。(詳しくは担当医にご確認ください)

デンタルローンとクレジットカードの分割払いの違いは、以下の通りです。

比較項目デンタルローンクレジットカード
金利3~8%が一般的12~15%前後が多い
審査信販会社によるカード会社による
利用枠治療費全体のカバーが可カード限度額に依存
支払回数最大120回払いもあり通常は2~24回程度

※上記はあくまでも目安です。詳しくはご契約した信販会社やカード会社にお問い合わせください。

デンタルローンはこんな方におすすめ
  • 今は手元資金に余裕がないが、早めに治療を始めたい方
  • 費用を一度に払うのが心理的に負担な方
  • 医療費控除を使いつつ、月々の負担を抑えたい方

歯科医師:田口 耕平
歯科医師:田口

北戸田COCO歯科でも、クレジットカードやデンタルローンによる分割払いのご相談が可能です。

まずはお気軽に「費用や支払い方法について相談したい」とお伝えください。
→当院の治療費の詳細

では次に、相場より安いインプラントの注意点と選び方をご紹介します。

4:相場より安いインプラントの注意点と選び方

インプラントが安すぎる場合のリスクと、信頼できる医院を選ぶコツを対比的に示したインフォグラフィック。

「相場より安い=お得」とは限らないのがインプラント治療。

費用の違いには、

  • 材料
  • 技術
  • 保証内容

など、見えづらい部分の差が隠れていることも。

歯科医師:田口 耕平
歯科医師:田口

ここでは、価格に惑わされずに納得のいく選択をするためのポイントを解説します。

4-1:安すぎる治療のリスクとは

相場より大幅に安いインプラント治療には、以下のようなリスクが潜んでいる可能性があります。

  • 診断・検査の簡略化
    → 事前のCT撮影や骨の状態確認が不十分だと、埋入位置のズレやトラブルの元に。
  • 素材のグレードが低い
    → 安価なインプラント体や上部構造は、破損や不適合のリスクが高まることも。
  • 保証やメンテナンスが不十分
    → 治療後のトラブル時に、再手術や費用負担がすべて自己責任になることも。
  • 実績の少ない医師が担当する可能性
    → 執刀経験や症例数は、仕上がりや長期的な安定に大きく関わります。

歯科医師:田口 耕平
歯科医師:田口

「なぜその価格なのか」を丁寧に説明してくれる医院かどうかが、大きな見極めポイントです。

4-2:「本当に安心できる歯科医院」を見極めるポイント

後悔のない選択をするために、以下のポイントをチェックしましょう。

  • CT撮影など精密検査を行っているか
  • 事前説明が丁寧で、リスクについても正直に伝えてくれるか
  • 治療実績・症例写真・口コミなどで信頼できるか
  • 治療後のメンテナンス体制が整っているか
  • 保証内容や支払い方法の選択肢が明確か

また、価格だけでなく「その費用にどんな価値が含まれているか」を比べてみることが大切です。

歯科医師:田口 耕平
歯科医師:田口

北戸田COCO歯科では、CTによる診断から治療後のアフターケアまで、専門医である院長が中心となり、安心のフォローアップ体制を整えています。

気になる点があれば、お気軽にご相談ください。
→当院のインプラント治療の詳細

では次に、当院の症例を通して「具体的にどのような治療が行われるのか」を見ていきましょう。

5:費用例と症例紹介(北戸田COCO歯科)

北戸田COCO歯科のインプラント症例ページ案内。実際の費用例と治療期間がわかるビジュアル。

インプラント治療を検討するうえで、「実際にどんな治療を受けて、いくらくらいかかるのか?」は気になるポイントですよね。

歯科医師:田口 耕平
歯科医師:田口

ここでは、北戸田COCO歯科で実際に行った治療事例を、費用や治療期間とあわせてご紹介します。

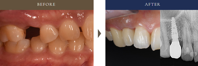
5-1:症例①|50代女性・左上奥歯に1本インプラント
50代女性の左上奥歯に1本インプラントを行った症例。治療前後の口腔内写真とレントゲン比較で効果を確認。
  • 治療内容:むし歯で抜歯が必要になった左上の奥歯に、周囲の歯を削らずに1本インプラント治療を実施。
  • 治療期間:約5ヶ月
  • 費用:310,000円(税込341,000円)
  • 補足:CT診断と治療用ガイドを活用し、安全性に配慮。しっかり噛める奥歯としての機能回復を重視しました。

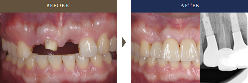
5-2:症例②|30代男性・前歯に2本インプラント(骨造成あり)
30代男性の前歯に2本のインプラントと骨造成を行った症例。審美性と安定性に配慮した治療のビフォーアフター。
  • 治療内容:事故で前歯を2本失い、審美性と機能性の両立を目指してインプラント治療を実施。
  • 治療期間:約8ヶ月
  • 費用: 796,000円(税込875,600円)
  • 補足:見た目の自然さにこだわり、隣の歯とのバランスも丁寧に調整。CT診断をもとに、安全かつ美しい仕上がりを実現しました。

5-3:他にも多数の症例を掲載中!

北戸田COCO歯科では、奥歯の治療や複数本の症例、骨造成を伴うケースなども多数紹介しています。

歯科医師:田口 耕平
歯科医師:田口

実際の治療の流れや費用感をもっと知りたい方は、以下のページもぜひご覧ください。

症例紹介一覧はこちら

6:インプラント相場の不安は、専門医への相談で解消できます

それでは最後に本記事の重要なポイントをおさらいしていきます。

本記事のまとめ
  • Q1. インプラントの費用相場はどれくらい?
    →A. 一般的には1本あたり30万〜50万円前後です。前歯は審美性が重視されるためやや高く、奥歯は比較的抑えめです。
  • Q2. なぜ歯科医院によって価格差があるの?
    →A. 素材・技術・保証内容・治療設備(CTの有無など)によって差が出ます。また、都心部では家賃や人件費の関係でやや高めになることもあります。
  • Q3. 安い医院を選んでも大丈夫?
    →A. 費用だけで選ぶのは要注意です。治療の安全性・術後のフォロー体制・説明の丁寧さなどを総合的にチェックしましょう。
  • Q4. どんなときに追加費用がかかるの?
    →A. 骨造成やサイナスリフトが必要な場合、また仮歯やCT撮影などが別料金になるケースもあります。事前の見積り確認が大切です。
  • Q5. インプラント治療を安心して受けるために、どうすればいい?
    →A. 自分に合った治療法・費用・期間について、専門医とじっくり相談できる医院を選ぶのがベストです。北戸田COCO歯科でも無料相談を実施中です。

無料カウンセリングで安心スタート

「費用はどれくらい?」「手術が不安…」

当院ではそんな疑問に、専門医である院長が中心となって丁寧にお応えします。

歯科医師:田口 耕平
歯科医師:田口

こちらから、治療を無理にすすめることはありません。

納得できるまで、じっくりご相談くださいね^^

  • JR北戸田駅から徒歩1分、土曜も17時まで診療。
    →診療時間・アクセス詳細
  • LINE・WEB・お電話で、お気軽にご予約を^^
    →以下のボタンをタップしてくださいね!

埼玉県戸田市で治療をお考えなら
北戸田COCO歯科へ

執筆協力:森崎ことり(ライター)

店舗紹介

Our Clinic

北戸田coco歯科の院内写真
北戸田coco歯科の院内写真

武蔵浦和COCO歯科

埼玉県さいたま市南区白幡5-18-19
MID KUDOS TERRACE4階

武蔵浦和駅から徒歩1分

休診日:木曜・日曜・祝日

ご予約はこちらから

北戸田coco歯科の院内写真
北戸田coco歯科の院内写真

北戸田COCO歯科

埼玉県戸田市大字新曽2002-1
プルメリア北戸田1階

北戸田駅から徒歩1分

休診日:日曜・祝日

ご予約はこちらから