この前、テレビを見ていたら酸蝕症が特集されていました。
以前に酸蝕症の患者さんを大学病院にて担当させていただいたことが何度かあり、
そのときを思い出したので、このブログを本日書いています。
歯は皆さんの生活の中で、欠かせない存在であると思います。
その歯が溶けてなくなってしまったら・・・。
考えるだけでもゾッとしますね(”Д”)
しかし車のタイヤと一緒で、毎日繰り返される噛み合わせの中で、歯の擦り減りは避けられません。
歯は、体の中で最初に食物や液体に触れる場所なので、毎日食べるものの硬さや形、酸性度に影響を強く受けます。
毎日、黒酢を飲む、という方もいるかとおもいますが、一回ならまだしもそれが毎日となると歯にもダメージが蓄積してきます。
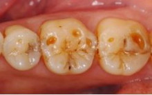
酸蝕症は、酸によって化学的に歯が溶けることです。


酸蝕症の原因には、体の内側からくるものと外側からくるものあります。
内側からくるものとしては、胃液(逆流性食道炎、拒食症、習慣的な嘔吐)
外側からくるものとしては、習慣的に食べるものや飲むものが挙げらえます。
最近は食生活の変化とともに、食べ物や飲み物による酸蝕症が増えています。

東京医科歯科大学歯科同窓会発行リーフレット 「酸性食品と酸蝕症」 より
エナメル質臨界pH5.5以下になると、歯が溶け出さないように注意が必要です。
ではどのくらいの人が酸蝕症になっているかというと、
酸蝕症の罹患状況は26.1%(エナメル質 段階:19.3%,象牙質段階:6.8%)であり,全世代で はおおよそ4人に1人の割合となるそうです。(平均年齢49.1歳,1,108 名)
思ったよりも多いいなと思われた方もいるかと思います。
本日は、酸蝕症というものがどういうものなのか、どのくらいの人がなっているのか、について記載いたしました。
次回のブログでは、酸蝕症にならないためにはどうすればいいのか。
酸蝕症になりかけている、もしくはなってしまっているときにどういった対策をとることが必要かについて書いていきたいと思います。