すぐ
美しさにこだわった矯正歯科治療
QUALITYこのような
お悩みありませんか
ぜひCOCO歯科グループへ
ご相談ください
当院の矯正治療
FEATURECOCO歯科グループが選ばれる
のには理由があります!
矯正治療から
一般歯科治療まで
すべて対応可能
当院では、豊富な知識と経験のある日本矯正歯科学会認定医が在籍しております。
さらに総合歯科医院のため、当院で矯正治療からむし歯の治療や親知らずの抜歯などの一般歯科治療も全て対応可能です。
矯正治療後もかかりつけ医として、当院で生涯にわたり、患者さんの口腔内の健康をサポートします。


目立ちにくい矯正治療が可能クリアブラケット
ホワイトワイヤー
追加費用なし
当院では、透明なマウスピースを用いた矯正装置や、ワイヤーとブラケットを用いて行う矯正装置など、様々な装置を取り扱っています。
さらにワイヤー矯正では、追加費用はいただかず、目立ちにくいクリアブラケットやホワイトワイヤーに変更することが可能です。
ワイヤー矯正で金属が目立つことを懸念されていた方や、装置が目立つことで矯正していると周囲に気付かれてしまうことに抵抗がある方でもお気軽にご相談ください。


分割でのお支払いが可能分割金利手数料なし
初期費用は
総額の20%だけ
治療費が分割で支払えたとしても、手数料などが気になってしまうという方は多いのではないでしょうか?
そのような場合でもご安心ください。当院では、金利手数料がかからず分割でのお支払いが可能です。
お気軽にご相談ください。
いきなり矯正治療の相談をするのは不安…一度ゆっくり話を聞いてから検討したい…
どれくらいの費用なのかざっくり
知っておきたい
そんな方もご安心ください!
COCO歯科グループでは、
初回無料カウンセリングを
実施しています
まずはお気軽にご相談ください
初回|無料カウンセリング
お電話または、お問い合わせフォームより
お問い合わせください
当院の矯正治療はおかげさまで、たくさんの問い合わせと治療中の患者さんがいらっしゃいます。予約に関しては治療の方優先となるため、初診相談に関しては前日までに予約確認のお電話に出ていただいた方とさせていただいております。ご協力のほどよろしくお願いいたします。
当院で治療を受診されている
患者様を対象に、
お得なプランや割引サービスを
ご用意しております。
家族割
紹介割
当日
予約割
ホワイトニング
薬剤無料進呈
※ホワイトニング薬液の無料進呈は矯正治療のみ(4本)
割引の詳細については、
お気軽にお問い合わせください。
矯正治療について
ORTHODONTIC幅広い症例に対応しています
ガタガタ
ボコボコ
前歯が
出ている
下顎が
出ている
すきっぱ
噛み合わせ
のズレ
前歯が噛み
合わない
歯並びを整える矯正治療には、
たくさんのメリットがあります
01
ケアが容易になり、むし歯や歯周病の
リスクが軽減する
02
今まで気にしていた歯並びが改善され、コンプレックスの解消になる
03
発音がきれいになり、会話がスムーズになる
04
噛み合わせが良くなることで噛めるようになり、胃腸の消化がよくなる
05
バランスよく噛むことができるようになることで、顔のバランスが整う
06
姿勢がよくなったり、顎関節症や肩こりの改善につながる
矯正装置の種類
TYPE
ワイヤー矯正
最もポピュラーな矯正装置で、矯正治療と聞くとこの装置を思い浮かべる方も多いと思います。ブラケットと呼ばれるものを歯の表面に付け、ワイヤーで動かしていきます。
ブラケットには、金属や目立ちにくいセラミックなどがあります。
メリット
デメリット
マウスピース矯正
(インビザライン)
透明なマウスピースを使用して行うマウスピース矯正は、アライナー矯正とも呼ばれ、インビザラインに限らず様々なメーカーが販売をしています。インビザラインとは、アメリカのアラインテクノロジー社の製品の商標で、世界最大シェアを誇り、これまでに(2021年5月現在)全世界で1000万症例以上が治療されています。インビザラインによる矯正治療を望む患者さんは年々増え、歯並びに悩む世界中の多くの患者さんが、この透明なマウスピース矯正装置で素敵な笑顔になっています。
メリット
デメリット
※インビザラインは、薬機法対象外の
矯正歯科装置であり
医薬品副作用被害救済制度の
対象外となる場合があります。
リスク・副作用について
・治療初期には痛みや不快感が現れる場合があります。
・歯の動き方には個人差があるため、予想された治療期間より延長する場合があります。
・装置の使用状況や定期的な通院など、患者さんの協力度で治療の結果や期間に影響します。
・歯を動かすことで歯根が吸収して短くなったり、歯肉が下がることがあります。
・稀に歯が骨と癒着していて歯が動かなくなったり、歯の神経が障害を受けることがあります。
・治療中に「顎が痛い、口が開けにくい、顎関節で音が鳴る」などといった顎関節症状が出ることがあります。
・状況によって、当初予定した治療計画を変更する場合があります。
・装置が外れた後に、保定装置を使用しないと後戻りが生じる可能性が高くなります。
・装置が外れた後に、現在の噛み合わせに合わせるために、古い補綴物や修復物などをやり直す可能性があります。
・顎の成長発育によって、噛み合わせや歯並びが変化する可能性があります。
矯正装置の比較
COMPARISON|
マウスピース矯正 ![]() |
ワイヤー矯正 ![]() |
|
| 治療方法 | マウスピースを使用して 歯並びを整える |
ブラケットとワイヤーを用いて 歯並びを改善 |
| 目立ちにくさ | 透明なマウスピースを 使用するため 目立ちにくい |
歯の表側に装置を装着 するため、目立つ |
| 通院回数 | 1~3ヶ月に1回程度 | 1ヶ月に1回程度 |
| 口内炎・ケガ | できにくい | できやすい |
| 痛み | 痛みにくい | 痛みが出やすい |
| 取り外し | 可能 | 不可 |
| 金属アレルギー | ない | 場合によってあり |
治療の流れ
FLOW
無料カウンセリング
治療を行うにあたって、不安に思っていることや疑問点などは、何でもお気軽にお尋ねください。
患者さんのお悩みをしっかりヒアリングし、矯正治療について分かりやすく丁寧にご説明させていただきます。
精密検査
矯正治療を行うにあたって、口腔内の状況を把握することはとても重要となります。当院では、レントゲン撮影などの検査をしっかりと行い、治療に必要な情報を集め、その結果から、患者さんお一人おひとりに合わせた治療計画を立案します。
矯正治療開始
治療計画にご納得いただけましたら、矯正治療を開始します。
実際に装置の使用方法や注意点などをお伝えさせていただきます。
治療中でも、ご不明点などございましたらお気軽にお尋ねください。
治療終了・保定
治療が終了しても、普段のお口の癖などが原因で歯並びが戻ってしまうことがあります。
そのような「後戻り」をしないために、一定期間は保定装置をつけてキレイになった歯並びを定着させていきます。
院長のご紹介
GREETING北戸田COCO歯科 院長
田口 耕平
KOHEI TAGUCHI
略歴・資格
所属学会
執筆論文
Effect of framework design on fracture load after thermal cycling and mechanical loading of implant-supported zirconia-based prostheses.
Komine F, Kamio S, Takata H, Yagawa S, Taguchi S, Taguchi K, Hashiguchi A, Matsumura H.
Dent Mater J. 2018 Jan 30;37(1):78-86
Fracture resistance of implant-supported screw-retained zirconia-based molar restorations.
Honda J, Komine F, Kamio S, Taguchi K, Blatz MB, Matsumura H.
Clin Oral Implants Res. 2017 Sep;28(9):1119-1126
In vitro comparison of fracture load of implant-supported, zirconia-based, porcelain- and composite-layered restorations after artificial aging.
Komine F, Taguchi K, Fushiki R, Kamio S, Iwasaki T, Matsumura H.
Dent Mater J. 2014;33(5):607-13
Effects of framework design and layering material on fracture strength of implant-supported zirconia-based molar crowns.
Kamio S, Komine F, Taguchi K, Iwasaki T, Blatz MB, Matsumura H.
Clin Oral Implants Res. 2015 Dec;26(12):1407-13
Fracture resistance of single-tooth implant-supported zirconia-based indirect composite-layered molar restorations.
Taguchi K, Komine F, Fushiki R, Blatz MB, Kamio S, Matsumura H.
Clin Oral Implants Res. 2014 Aug;25(8):983-91
Durability of bond between an indirect composite veneering material and zirconium dioxide ceramics.
Komine F, Kobayashi K, Blatz MB, Fushiki R, Koizuka M, Taguchi K, Matsumura H.
Acta Odontol Scand. 2013 May-Jul;71(3-4):457-63
Post-thermocycling shear bond strength of a gingiva-colored indirect composite layering material to three implant framework materials.
Komine F, Koizuka M, Fushiki R, Taguchi K, Kamio S, Matsumura H.
Acta Odontol Scand. 2013 Sep;71(5):1092-100
The effect of different surface treatments on the bond strength of a gingiva-colored indirect composite veneering material to three implant framework materials.
Koizuka M, Komine F, Blatz MB, Fushiki R, Taguchi K, Matsumura H. Clin Oral Implants Res. 2013 Sep;24(9):977-84
Effect of surface treatment on bond strength between an indirect composite material and a zirconia framework.
Komine F, Fushiki R, Koizuka M, Taguchi K, Kamio S, Matsumura H.
J Oral Sci. 2012 Mar;54(1):39-46.
Shear bond strength between an indirect composite layering material and feldspathic porcelain-coated zirconia ceramics.
Fushiki R, Komine F, Blatz MB, Koizuka M, Taguchi K, Matsumura H.
Clin Oral Investig. 2012 Oct;16(5):1401-11
矯正担当医
金子 綾
患者さまが、あと5年、10年早く矯正治療を受けていれば人生が変わったかもしれない、そう思うことは少なくありません。
私達が提供する矯正治療で、きれいな歯並び、口元、清潔で白い歯になっていただき、患者さまが心から笑顔になれるようにお手伝いできることを目指しています。患者さまの立場にたった親切・丁寧な説明をモットーに診療しています。
矯正治療は、患者さまと長い期間、関わっていく治療になります。患者さまとはもちろん、ご家族の方との信頼関係も、治療においてとても重要になってきます。どんな小さなことでも治療のこと、それ以外のこと、お悩みになる前にいつでも相談して頂ければと思います。
略歴・資格
所属学会
矯正担当医他2名在籍しています。
費用
COST| 初診料・相談料 | 無料 | |
|---|---|---|
| 調整料 (月1回まで) |
小児矯正の場合 | 3,000円(3,300円税込) |
| 成人矯正の場合 | 5,000円(5,500円税込) | |
| 検査・診断料 (相談当日に次回検査予約:検査費用1万円値引き) |
30,000円(33,000円税込) | |
| 小児矯正 | 400,000円(440,000円税込) | |
| 成人矯正 | 750,000円(825,000円税込) | |
| 小児矯正から成人矯正へ移行の場合 | 350,000円(385,000円税込) | |
| マウスピース矯正 | 350,000円〜850,000円 (385,000円〜935,000円税込) |
|
| 部分矯正 | 100,000円~200,000円 (110,000円~220,000円税込) |
|
| コンビネーション矯正 | 950,000円(1,045,000円税込) | |
| 保定装置料 | 30,000円前後 (33,000円前後 税込) |
|
※動的治療期間(歯を動かす期間)内での分割が可能です。(金利手数料無料)
※デンタルローン対応可能
治療開始までに総額の20%をお支払いいただきます。
残りは治療終了までにお支払いいただきます。
開始時に
20%
お支払い
残りは治療終了まで
にお支払い
分割OK!
お支払い例
治療総額825,000円のインビザラインの場合
治療開始時に
330,000円
お支払い
残り495,000円の
お支払いを
24回の分割払い
(月々20,625円)
お支払い方法
PAYMENT当院では、以下でのお支払いが
可能です
現金・クレジット
カード
デンタル
ローン
PayPay
各種クレジットカード
JCB・JCB PREMO/AMERICAN EXPRESS/Diners/VISA/MasterCard/MUFG/DC/UFJ/
NICOS/UC/SAISON/DISCOVER/UnionPay
JCB・JCB PREMO/AMERICAN
EXPRESS/Diners/VISA/MasterCard/MUFG/DC/
UFJ/NICOS/UC/SAISON/DISCOVER/UnionPay
1年間に10万円以上の医療費を
支払った場合、
納めた税金の一部が
還付されます
自分自身や家族のために、その年の1月1日から12月31日までの間に10万円以上の医療費を支払った場合、税務署へ確定申告することで、治療費の一部が戻ってきます。
領収書や通院の際にかかった経費の領収書などは大切に保管しておきましょう。
よくあるご質問
QAいつから矯正治療を始めればいいですか?
適切な治療時期はお一人おひとり異なりますが、矯正治療に年齢制限はありません。何歳からでも治療を開始できます。
歯並びや口元にコンプレックスをお持ちの方は、まずはお気軽にご相談ください。
抜歯の必要はありますか?
口腔内の状況にもよりますが、当院では、出来るだけ歯を抜かない治療を行ってります。
ですが、歯並びの状態によっては抜歯の可能性ありますので、しっかりと口腔内を確認させていただいき、ご相談させていただいた上で治療方法を決定しております。
どのくらいの期間で歯並びはキレイになりますか?
矯正治療期間は一般的に1~2年程度の治療期間がかかりますが、歯並びの状態によって個人差はございます。そのため詳しい治療期間は、精密検査などをさせていただいた後に、担当医からご説明させていただきます。
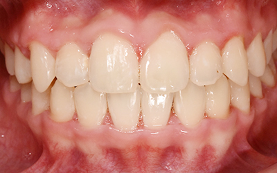
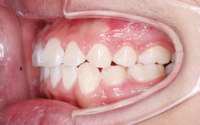
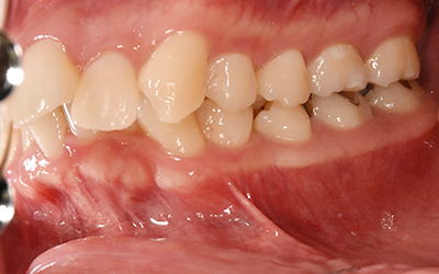
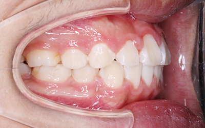
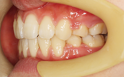
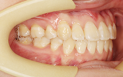
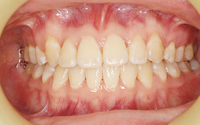
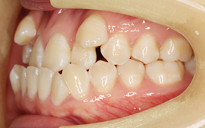
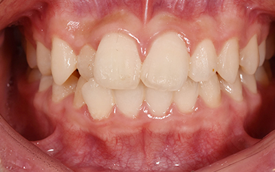
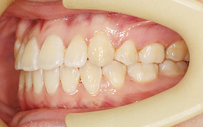
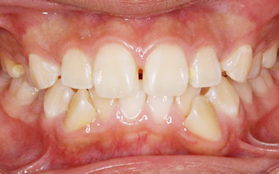
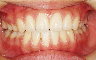
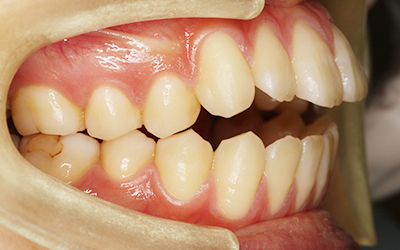
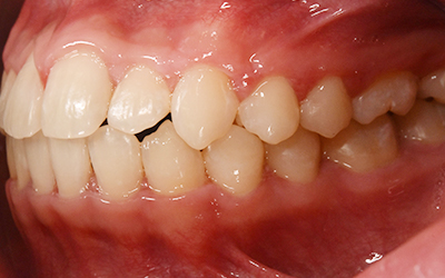
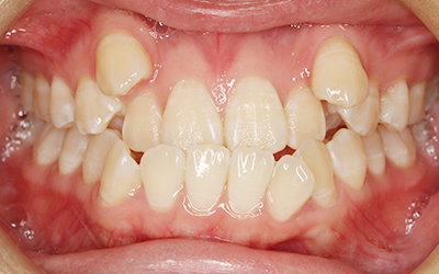
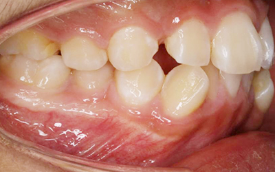
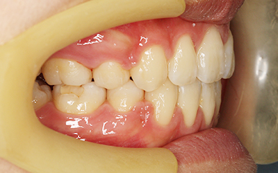
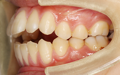
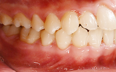
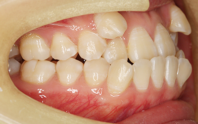
症例のご紹介
CASEBefore
After
Before
After
Before
After
| 治療詳細 | 主訴:下あごが前に出ているのが気になる。 治療内容:本格治療 |
|---|---|
| 治療期間 | 1年半前後 |
| 費用 | 770,000円(税込) |
| リスク・副作用 | 治療の初期段階では、痛みや不快感が生じる可能性があります。 歯の動き方には個人差があるため、予想された治療期間より長くなる場合があります。 |
Before
After
Before
After
Before
After
| 治療詳細 | 主訴:前歯が噛んでいないのが気になる。 治療内容:本格治療 |
|---|---|
| 治療期間 | 1年半前後 |
| 費用 | 770,000円(税込) |
| リスク・副作用 | 治療の初期段階では、痛みや不快感が生じる可能性があります。 歯の動き方には個人差があるため、予想された治療期間より長くなる場合があります。 |
Before
After
Before
After
Before
After
| 治療詳細 | 主訴:歯がガタガタで気になる。 治療内容:本格治療 |
|---|---|
| 治療期間 | 1年半前後 |
| 費用 | 770,000円(税込) |
| リスク・副作用 | 治療の初期段階では、痛みや不快感が生じる可能性があります。 歯の動き方には個人差があるため、予想された治療期間より長くなる場合があります。 |
Before
After
Before
After
Before
After
| 治療詳細 | 主訴:上の歯が前に出ているのが気になる。 治療内容:本格治療 |
|---|---|
| 治療期間 | 1年半前後 |
| 費用 | 770,000円(税込) |
| リスク・副作用 | 治療の初期段階では、痛みや不快感が生じる可能性があります。 歯の動き方には個人差があるため、予想された治療期間より長くなる場合があります。 |
Before
After
Before
After
Before
After
| 治療詳細 | 主訴:右側のかみ合わせがずれている。 治療内容:本格治療 |
|---|---|
| 治療期間 | 1年前後 |
| 費用 | 770,000円(税込) |
| リスク・副作用 | 治療の初期段階では、痛みや不快感が生じる可能性があります。 歯の動き方には個人差があるため、予想された治療期間より長くなる場合があります。 |
お問い合わせフォーム
CONTACT11月7日(金)~11月10日(月)の期間中に
お問い合わせフォームをご利用いただいた方は、
大変お手数ではございますが、
一度医院(048-229-8185)まで
お電話くださいますようお願いいたします。
プライバシーポリシー
・個人情報は、目的以外の事には利用いたしません。
・個人情報は、漏洩や盗難などを防止するよう十分管理いたします。
・患者さんへ適切な医療を提供するために、他の医療機関との連携をおこなう場合にのみ利用します。
・利用目的を変更したときはお知らせします。