こんにちは北戸田coco歯科です!
子供の歯についた着色は見た目に影響を与えるため、気になる保護者の方も多いでしょう。
色する原因はさまざまで、主に飲食物や歯垢などが挙げられます。着色汚れは歯科医院でのクリーニングで除去できますが、虫歯やエナメル質形成不全といった場合は予防処置や治療が必要になります。
本記事では、子供の歯が着色する原因や取り方、予防方法などについて解説します。
◽️子供の歯が着色している!原因は?

子供の歯が着色する原因は、飲食物による着色汚れや歯垢などがあります。
・飲食物による着色汚れ
子供の歯は飲食物によって着色することがあります。特に、色の濃い飲食物やポリフェノールを含むお茶は、茶渋のように茶色くなることも。これらの着色は、歯の健康に影響を及ぼすことはありません。
着色が薄ければ歯磨きで除去することが可能ですが、頑固な汚れは歯科医院でのクリーニングで取り除く必要があります。しかし、着色がつくということは、歯磨きが不十分であることが考えられます。
食後すぐに歯磨きやうがいをすれば着色はほとんどつきません。色の濃い飲食物やお茶など摂取したときは、すぐにうがいや歯磨きをして着色を予防しましょう。
・歯垢
磨き残しがあると歯の表面に歯垢(プラーク)がつき、放置すると黄ばんで見えることがあります。
特に歯と歯ぐきの境目は、磨き残しが多発しやすい場所です。歯垢は細菌の塊であるため、見た目に影響をおよぼすだけでなく、虫歯や歯肉炎を引き起こすリスクが高まります。
また、歯垢が固まると歯石になり、着色を引き起こす原因となります。そのため、磨き残しがないように保護者が仕上げ磨きをしっかり行うことと、定期的に歯科医院に受診してクリーニングを受けることが大切です。
・象牙質の色が透けて見える
永久歯が生え始めた時期は、まだ歯の表面を覆うエナメル質が未成熟で、その下にある象牙質の色が透けて見えることがあります。象牙質は黄色味が強いため、着色しているように感じてしまうのです。
時間が経過するにつれてエナメル質は徐々に強く白くなるため、この時期の色の変化に関して過度に心配する必要はありません。
・外傷による神経の損傷
外傷や転倒など事故によって歯に大きなダメージを受けると、歯の内部にある神経が死んでしまうことがあります。神経が死んでしまうと内部から黒く変色することがあります。
外部からの着色と異なり、歯磨きやクリーニングでは除去できません。このような場合、神経を取り除く「根管治療」が必要になります。
また、外傷を受けた歯は、亀裂ができたり歯の根っこが割れてしまったりと、さまざまな問題が発生する可能性があるため、外傷や転倒した場合はすぐに歯科医院を受診しましょう。
◽️着色による悪影響は?

飲食物による着色は、歯に直接悪影響をおよぼすことはありません。
しかし、着色がつくということは歯ブラシが届いていないことを意味します。磨き残しによって歯垢が溜り、それが固まって歯石になると歯や歯ぐきに悪影響を与えます。
また、歯垢が黄色く変色している場合、その下では初期虫歯になっている可能性が高いです。子供の虫歯は進行しやすいので早めの対処が必要です。
◽️子供の歯についた着色の取り方

子供の歯が着色している場合は、以下の方法で取り除けます。
・ホームケア
飲食物による薄い着色は、歯磨きで取り除けます。
特に、色の濃い飲食物を摂取した後すぐに歯を磨くことで着色を予防することも可能です。食後すぐに歯磨きができない場合は、口をゆすぐだけでも効果があります。
歯磨きをする際はやわらかいブラシを使用しましょう。磨きにくい部分をしっかり仕上げ磨きすることが大切です。ただ、強い力で磨いてしまうと歯の表面に傷がつき、余計に着色しやすくなるため注意しましょう。
・歯科医院でのクリーニング
歯科医院でのクリーニングは、飲食物による着色や歯垢、歯石を取り除けます。
施術後は歯の表面が滑らかになるため、着色や歯垢の再付着も防ぐことが可能です。また、クリーニングではフッ素塗布など予防処置を行い、歯質の強化も期待できます。
虫歯予防につながるので、歯科医師・歯科衛生士と相談しながら定期的に受けましょう。
◽️子供の歯の着色を防ぐためにできること

子供の歯が着色する主な原因は飲食物によるものです。カレーやミートソースパスタなど色の濃い飲食物の摂取を控えることで着色のリスクを減らせます。
また、お茶は着色がつきやすいため、麦茶や水に置き換えるのも良い方法です。ただ、色の濃い飲食物の摂取を完全に避けるのは難しいため、食後に歯磨きや口をすすぐ習慣を身につけておくことがポイントです。
また、定期的な歯科検診も着色と虫歯予防に欠かせません。定期的にクリーニングを受けることで、歯の着色汚れを落とせるだけでなく予防にもなります。子供の定期検診ではフッ素塗布を行うところがほとんどです。
フッ素は歯質を強化し、虫歯になりにくい歯にできます。子供の歯の着色を予防することは歯の健康を守ることにもつながります。ホームケアをしっかりと行い、定期的に歯科医院へ受診しましょう。
◽️着色ではなくて虫歯や他の可能性も

子供の歯の着色は飲食物の摂取だけでなく、虫歯やエナメル質形成不全など歯の健康に問題が生じている可能性もあります。
・虫歯
虫歯は虫歯菌が出す酸によって、歯の表面のエナメル質が溶け出した状態です。進行すると歯が黄ばんだり、黒や茶色の点や線となって現れることがあります。
虫歯による着色は歯磨きで取り除くことができません。また、放置すると神経の近くまで進行し、痛みを伴うことがあります。
ただ、飲食物による着色なのか虫歯による歯の変色なのかを判断するのは難しいです。着色が見つかった際は、早めに歯科医院を受診して対処してもらいましょう。
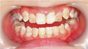
・エナメル質形成不全

参照:BEST DENTIST IN DELHI
エナメル質形成不全とは、歯の表面のエナメル質が生まれつき薄い状態のことです。
原因は妊娠中の栄養不足や病気、代謝異常などによる歯の形成の阻害、乳歯の虫歯、外傷などがあります。エナメル質形成不全はエナメル質の下にある象牙質の色が透けるため、歯が茶色く見えます。
通常よりもエナメル質が薄いことから虫歯になりやすいです。エナメル質形成不全と診断された場合は、保護者による仕上げ磨きが重要です。歯ブラシだけでなく、フロスなど使ってしっかりと汚れを取り除きましょう。
また、定期的なクリーニングで歯磨きだけでは落としきれない汚れを取り除き、フッ素塗布など行って歯質を強化することも大切になります。
◽️気になることがあれば歯医者へ相談しよう

子供の歯に関して何か気になることがあれば、遠慮せずに歯科医師に相談しましょう。
子供のお口の健康は全身の健康にも影響を及ぼすこともあるため、些細な疑問や不安も歯科医師に相談することが大切です。もし問題が見つかった場合も早めに対処することで子供への負担も少なくて済みます。
また、着色や虫歯などがなくても定期的に検診を受けることが大切です。頻度はお口の中の状態によって異なりますが、1~3ヶ月に1回は定期検診を受けることをおすすめします。
◽️まとめ
子供の歯が着色する原因は、飲食物や歯垢、外傷、虫歯、エナメル質形成不全などさまざまです。
見た目だけでは判断が難しい場合が多いため、気になることがあれば歯科医師に相談しましょう。早めに対処することで子供のお口の健康を保ち、将来的な問題も予防できますよ。
こちらの記事もおすすめ:子供の歯並びは食べ物に影響される?歯並びに良い・悪い食べ物

