「歯科検診で噛み合わせが深いって言われたけど、どんな影響があるの?」「噛み合わせは、自然に治ることはあるの?」子供の噛み合わせが深いことを指摘されると、このような疑問や不安を持つ方もいるでしょう。
噛み合わせが深い状態は、歯並びが良いこともあり、あまり問題があるように見えません。
しかし、将来的に歯やあごの健康に悪影響を与える可能性があります。そこで本記事では、子供の噛み合わせが深いことで起こる問題や治療法、予防策について解説します。
◽️「噛み合わせが深い」ってどんな状態?

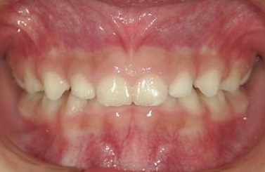
「噛み合わせが深い」とは、専門的には「過蓋咬合(かがいこうごう)」と呼ばれ、歯並びが悪いことを指す不正咬合(ふせいこうごう)の一種です。
正常な噛み合わせの場合、上の前歯が下の前歯を2~3mm程度覆っていますが、過蓋咬合は、その被さり具合が大きすぎることが特徴です。
被さり具合のことをオーバーバイトと言います。
日本小児歯科学会では3歳児の歯科検診でオーバーバイト 4 mm以上(下顎前歯が上顎前歯に覆われて見えない状態)を過蓋咬合としています。

引用:日本小児歯科学会
過蓋咬合には大きく分けて、骨格性と歯槽性(しそうせい)の2つのタイプがあります。
◼️骨格性のタイプ
骨格性の過蓋咬合は、上下のあごの骨のバランスが崩れていたり、十分に発達していなかったりするタイプです。
たとえば、上あごが大きく成長し過ぎていたり、下あごが十分成長していないことによるもので、遺伝的な要因が大きいとされています。
◼️歯槽性のタイプ
歯の位置や傾きが原因で起こる過蓋咬合は、歯槽性に分類されます。
指しゃぶり・舌癖(舌で歯を押す癖)・口呼吸などで歯が正しい位置に並ばなかったなど、後天的な原因が多いタイプになります。
◽️子供の噛み合わせが深いとどんな悪影響が?

噛み合わせが深いと、さまざまな悪影響を及ぼす可能性があります。ここでは、噛み合わせが深いことで子供の体と心にどのような問題が起きるのかを紹介します。
◼️顎関節症になりやすくなる
顎関節症は、口を開けにくい・あごが痛い・口を開けると音がするなどの症状が出るあごの疾患です。
噛み合わせが深いと、下あごの動きが制限されてしまいます。そのため、あごに負担がかかり、顎関節症を引き起こしやすくなります。
◼️発音が悪くなる
噛み合わせが深いと上の前歯に下の前歯が強く当たるため、舌を動かしにくくなり、発音が悪くなります。
発音が悪いと、誤解を招く、聞き取ってもらえないなど、家族や友達とのコミュニケーションに悪影響を与える恐れがあります。
◼️顔貌への影響
噛み合わせが深いと、下あごが後ろに引っ込んで見えたり、顔が短く見えるなど、顔貌にも影響します。
そのため、見た目が気になる年頃の子供が気にしてしまい、コンプレックスに感じてしまう可能性があります。
◼️虫歯や歯周病のリスク
前歯で深く覆われている部分は歯磨きがしにくく、磨き残しが多くなります。
そのため歯垢が取りきれず、虫歯や歯周病にかかりやすくなるのです。口の中に歯垢や汚れがあると、細菌が増えて口臭も引き起こしてしまいます。
◼️口の中の怪我
上下の歯が強くぶつかりやすいため、運動や転倒などで衝撃を受けたときに、歯茎や唇を傷つけやすくなります。
また、下の前歯が上の歯茎に当たりやすく、食事中や会話中に粘膜を傷つけたり炎症を起こしてしまう恐れがあります。
◽️乳歯のときの噛み合わせは自然に治るって本当?

永久歯に生え変わるときの歯の位置の変化やあごの発達により、自然に噛み合わせが整ってくることも少なくありません。
また、指しゃぶりや舌で歯を押すなどの悪習慣を無くすことで、改善が期待できます。
離乳食完了期以降の食事は、硬さのある食べ物を与えてあごを発達させ、正しい噛み合わせになるようにしてあげましょう。
もちろん、歯科検診で定期的にチェックしてもらうことも忘れてはいけません。
◽️永久歯だと、矯正しなきゃダメ?

個人差がありますが、永久歯は12〜15歳頃に生え揃い、歯の位置やあごの骨がほぼ完成します。
そのため、永久歯で噛み合わせが深い場合、自然に解消されるケースはほとんどありません。
矯正治療は大人になってからでも可能ですが、子供の方があごや歯がやわらかく動かしやすいため、永久歯が生え揃う前までに矯正治療を始めるのが理想的です。
◽️噛み合わせが深い場合の治療法

では、噛み合わせが深い子供はどのように治療するのでしょうか。治療法は年齢や症状によって異なりますが、子供のうちに始めるのがおすすめです。
◼️小児矯正
小児矯正では、特別な装置を装着して噛み合わせを改善させていきます。
永久歯が生え変わる時期やあごの成長に合わせて治療を進めることで、無理なく、自然で美しい歯並びを目指せるのが特徴です。
また、大人になってからの矯正と比べて、歯やあごの骨が柔軟な子供のうちに矯正治療を始めることで、将来的な抜歯の可能性を減らせるメリットも。
◼️成人矯正
成人矯正は、すべての歯が永久歯に生え替わり、あごの骨が完成した状態で行う矯正治療です。主に3つの方法があります。
◼️ワイヤー矯正
歯に小さな金具(ブラケット)を取り付けて、そこにワイヤーを通します。
ワイヤーの力で、歯を正しい位置まで少しずつ動かしていく治療法です。ワイヤー矯正は目立ちやすいですが、噛み合わせをしっかりと改善する効果があります。
◼️マウスピース矯正
透明なマウスピースを装着し、歯を少しずつ動かしていきます。
透明で目立ちにくい、取り外しができるなどのメリットがありますが、マウスピース治療が適さない歯並びや噛み合わせもあります。
噛み合わせの深さや原因、年齢などで治療法が変わってきます。歯科医師と相談しながら、適切な治療法を見つけましょう。
◼️外科矯正
外科手術と矯正治療を組み合わせた治療法です。
外科手術で骨のずれを改善した後、矯正治療で歯の位置と噛み合わせを調整していきます。全身麻酔や入院が必要になりますが、重度の症状も効果的に治療できます。
◽️噛み合わせが深くならないための予防策は?

子供のうちから正しいケアを行うことで、噛み合わせが深くなるのを防ぐことができます。ここでは、子供の噛み合わせを良好に保つための予防策について説明します。
◼️口呼吸を改善する
口呼吸は舌の位置が下がるため、あごがきちんと成長せず、噛み合わせが深くなってしまいます。
口呼吸の原因となるアレルギーや鼻づまりの症状がある場合、きちんと治療し、鼻呼吸ができるようにしましょう。
◼️よく噛んで食べる習慣を身につける
よく噛んで食べて、あごの骨や筋肉を鍛えるようにしましょう。
あごがしっかり発達し、噛み合わせが良くなります。硬めの野菜やナッツなどを食事やおやつに取り入れて、よく噛んで食べる習慣を身につけてあげたいですね。
◼️正しい姿勢を保つ
前かがみの姿勢は、あごの正常な発達を妨げてしまい、噛み合わせや歯並びを悪くさせます。
スマホやテレビを見るときは、猫背にならないように画面の位置を高くして、正しい姿勢を保ちましょう。
◼️歯ぎしりを予防する
就寝中の歯ぎしりは、噛み合わせに悪影響を与えます。
ストレスをためないようにリラックスして、睡眠環境を整え、質の良い睡眠を取るように心がけましょう。
◽️まとめ
噛み合わせが深いと口の中だけでなく、体や心、見た目にも悪影響を及ぼします。成長期のうちに矯正治療を行い、噛み合わせを治していくことが理想的です。
口呼吸や指しゃぶりなどの悪習慣や普段の食生活も子供の噛み合わせに関係します。歯科医師に相談しながら早めに改善に取り組みましょう。
こちらの記事もおすすめ:http://乳歯が抜けてないのに永久歯が生えてきたら?【放置するリスク】

