BLOG 医院ブログ

保険診療?自費診療?

公開日:

一般歯科

こんにちは

院長の田口です

 

今回は、保険診療と自費診療についてお話ししたいと思います

 

皆さん歯科医院に行った際に虫歯の治療などで一度は耳にしたことがあるのではないでしょうか

でも、「どうせ高いから勧めてきてるんでしょ?」と思ったり、「興味はあるけど、とりあえずは保険診療で」と言われる方が多いです。

もちろん私の考えとしては、患者さん一人ひとりが無理なく納得して、受けたい診療を受けるのが一番だと考えています

 

しかし、「高いから勧めてきている」という考えは違うんです!!

 

もちろん世の中には安くていいものというのはたくさんありますよね

しかし歯科の場合の保険診療と自費診療というのは簡単に言うと

 

保険診療→限られたコストで治療を進めなければいけないため、治療に使用できる材料や時間に制約がある。

自費診療→制約がないため、治療過程で使用する材料や機器も保険とは異なる優れたものを使用することができ、時間と手間をかけてより精度の高い治療。

 

なんです!!

安くていいものとは少し違う気がしませんか?

 

もちろん、保険診療の場合でも精一杯診療をして、再発や虫歯にならないように診療をしています!

しかし、どうしてもかたどりの材料などの問題で限界がある場合があるんです、、、

 

そういった背景があるからこそ、われわれ歯科医師は患者さん方により良い治療を受けてもらいたいという思いで、自費診療を勧めることがあるんです

 

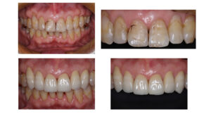
ここでひとつ症例をご紹介します!

 

数年前から、上の前歯に度重なる治療を受けるも、その度に一年くらいで変色してしまうので困っている。見た目にも目立つところなので、気になっていた、とのことで治療を希望され来院されました。上の前歯には何回もの保険治療での詰め物が施されていました。保険治療の詰め物は、プラスチック製のため、治療後しばらくするとお口の中のいろんなものを吸い込んでしまい(吸水性、吸着性)変色してきてしまいます。そのため、今回は、オールセラミックを用いた治療を計画しました。オールセラミックでの治療は金属を使用しないため、歯ぐきの色も綺麗なままの状態であるのがわかりますね

 

今回の治療は歯の周りを一周削ってかたどりをしてかぶせていきます。

こちらの治療ですと、一本10万円+税になるので、六本で60万円+税になります!

削るところからかぶるところまで全てを通してこの値段になります。

 

メリットとしてはたくさん書きましたが、治療のデメリットとしては、歯の周りを全周削ることになるので歯に対する侵襲性が、たかくなってしまいます。

 

もしこういった治療に少しでも興味がある方は、お気軽にご連絡(048ー229ー8185)ください