こんにちは
北戸田COCO歯科です![]()
先日の台風は雨風がとても強く不安な夜でしたね。幸い、この辺りは何事もなくでしたが、被害にあわれた方も多く、心を痛めています。出来るだけ早い復興を願っています。
さて、めっきり秋めいたお天気になってきましたが、最近ホワイトニングご希望の方が多く来院されます![]()
ホワイトニングをすると歯が明るくなってお顔の印象もパッと明るくなりますよね![]()
ホワイトニングは、基本的に神経がきちんと生きている歯に行います。被せ物が被っているところや、神経が死んでしまっているところには、表面からのアプローチでは白くなりません。
一例として、
この方は左上の前歯の変色を主訴に来院されました。レントゲンの検査で神経はもう死んでしまっていることが判明しましたので、治療法として二つ提案させていただきました。
1つは、周りを削って全体を被せるという治療法。しかしこの方の場合は、歯質が多く残っていたこと、削ることへの抵抗感があったため、この治療法は行わないことになりました。
そして、もう1つが、『ウォーキングブリーチ』という、神経のない歯を内側から白くするという方法です。
これですと、歯を削らなくていいので、患者さまの負担も軽減されます。
さっそく、根っこの中の治療を行い、根っこの中がきれいになった状態で、ウォーキングブリーチを行いました。
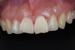
術後の写真です。

明らかに白く変わりましたね!!
患者様にも、大満足していただき、治療を終えることができました。
こちらの治療は保険適応外となるため、一本あたり3万円プラス税の治療費がかかります![]()
治療後はお顔の印象も明るくなりました!
同じような症状でお困りの方は一度、お気軽にご相談ください(048-229-8185)