北戸田COCO歯科 副院長田口です
最近はめっきり寒くなり、秋らしくなってきましたね![]()
寒いけど、コートを着るか着ないか迷うくらいのこの季節と空気感が個人的には好きです![]()
さて、本日ご紹介する症例は、患者さんの主訴の中でも多い、
「何もしなければ痛くないけど、物を噛むと痛い」
という主訴についての症例です。
先日来院された患者さんも、数日前から痛みがあり、当院を受診しました。
この症状の時は、原因歯の歯ぐきの周りに、ニキビのような出来物があるときが多いのですが、今回はそういった出来物はありませんでしたので、原因歯特定のために、歯をたたいてみたり、様々な検査を行いました。
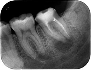
レントゲン撮影を行ったところ、

下の青丸の個所が黒くなっているのがわかるでしょうか??

この歯は以前、神経を取り除き、空洞になった神経の部屋に白い薬を詰めて、蓋がしてある歯でした。
しかし経年的に中に入っているお薬が劣化し、溶け出てしまった結果、中で感染を起こし根っこの先に膿が溜まってしまっています。
こうなると、噛むと痛い、などの症状が出やすくなります。
早速、上に入っていた材料を外し、中に入っている古い材料をかき出しました。
その瞬間に、ぶわっと黄色い膿があがってきました!!
後は、この膿がなくなるまで、根気強く根っこの中を洗浄していきます。この作業は何回か治療回数がかかりますが、患者さん自身の体が治していくのを待ちます![]()
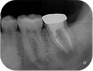
膿の症状、噛んだ時の症状、たたいた時の痛みなど、様々な項目をクリアした後は、根っこの中が綺麗になったと判断して、もう一度新しいお薬を詰めていきます。

根っこの治療終了後です。根っこの下にある黒い像は、この後ゆっくりとなくなっていきます。
いままで入っていなかった根っこの中にお薬が入ったのがわかるでしょうか??
⇒ 
症状もすっかり緩和して問題なく使用しています。
当院には、こういった根っこの中の治療を大学病院で専門に行っている先生もいらしています。
多くの症例を見てきていますので、こういった症状にお困りの方は、お気軽にお問合せ(048-229-8185)ください![]()