北戸田COCO歯科 院長 田口です![]()
今日は、インビザラインの治療の流れについてお話しします!
歯科医院にて歯型を採取して作られたアライナーが届くと、いよいよインビザラインによる矯正治療が始まります。今回は、インビサラインによる治療の流れについてご説明します。
アライナーが届いた後の治療の流れ
① アライナーの装着および自宅でのアライナー交換
アライナーが届いたら、歯科医院でさっそく一枚目のアライナーを装着します。いちばん初めのアライナーを装着した際、違和感があると思いますが、徐々に慣れてきます。アライナーがきちんとはまるかどうかを確認する他、アライナーの装着の仕方や外し方、洗浄の仕方などの説明を受けます。

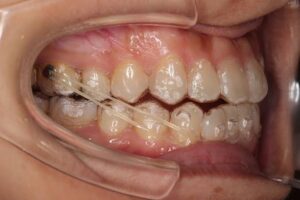
透明なので見た目はわかりづらいですね!
アライナーは1週間~10日ごとに交換し、次の来院の分まで渡されます。(患者さんの口腔内の状況や歯科医院の方針によって交換頻度は変わることがあります)
新しいアライナーに交換したら、これまで使っていたアライナーは不要になります。古いアライナーは処分しても構いませんが、ひとつ前のアライナーは念のため取っておいたほうが安心です。
② アタッチメントの装着
2、3回目の来院の際、歯にアタッチメントというものを装着します。アタッチメントとは、インビサラインで歯をより効果的に動かすためのもので、米粒程度の白い樹脂を 、動かしたい歯の表面に取り付けます。とても小さなものなので、目立つことはありません。
アタッチメントはずっと付けたままではなく、歯の動きに応じて付ける場所を変えることがあります。治療終了後は全て撤去しますので、ご安心下さい。
③ ディスキング(IPR)
ディスキングとは、歯の表面を少しだけ削る処置のことです。歯の表面のエナメル質をごく薄く削ることで抜歯を回避し、歯がきちんと並ぶスペースを確保することができること、そして左右の歯の形態を整えることを目的としています。

歯の表面のエナメル質は約2ミリですが、ディスキングで削る歯は約0.2ミリ程度とほんのわずかです。このことが虫歯に繋がるという報告はされていないようなので、安心していただいてよいでしょう。
④ 顎間ゴム
顎間ゴムとは、矯正治療中により歯並びや噛み合わせを整えるための治療です。歯に矯正用のゴムをかけることで歯が引っ張られて歯が動きやすくなります。顎間ゴムの交換は毎日行わなければいけませんが、新しいゴムに交換した時に痛みを感じることがあります。

⑤ 保定期間
インビサラインによる矯正治療が終了後も、後戻り防止のためにリテーナーと呼ばれる装置を装着して、歯が後戻りしないようにします。リテーナーはマウスピースのこともあれば、歯の裏側にワイヤーを付けて保定することもあります。せっかく矯正治療が終わったのにまだ装置を付けなければいけないの?と思うかもしれませんが、保定期間はきれいに並んだ歯と正しい噛み合わせが元に戻らないようにするためのとても大切な期間です。保定期間中も決められた頻度で通院し、歯並びや噛み合わせが戻っていないかどうかをチェックします。
これがインビザラインの治療の流れになります!!
興味があるかたや、ここはどういうこと?と疑問に思った方はお気軽にお問い合わせください!
矯正の相談は無料です!矯正、インビザラインは、北戸田駅徒歩1分の歯科医院 北戸田COCO歯科(048-229-8185)へご連絡ください!
北戸田COCO歯科 院長 田口でした!