こんにちは北戸田coco歯科です![]()
目立たないマウスピース矯正の「インビザライン」は若い人や社会人の方からも人気の矯正方法として人気が高まっています。
その広告には目立たない、取り外し可能などメリットの面はよく知られていますが、デメリットの面があるのも事実です。
どんな治療にもメリットとデメリットの面があるのは当たり前。
今回はインビザラインのメリットだけでなくデメリットの面もお話ししていきます。
対処方法についてもご紹介していますので、インビザラインを検討している方、今治療中の方はぜひ参考にしてみて下さい。
武蔵浦和近辺にお住みの方で、インビザライン矯正を検討しているけれどデメリットの面でお悩みの方。
北戸田COCO歯科では、インビザラインを始めとする様々な矯正治療に対応しており、武蔵浦和COCO歯科でも同様の診療を行なっております。
インビザラインのメリットとデメリット、治療期間など詳しくご説明いたしますので、ぜひお気軽に無料相談へいらしてください。
>>武蔵浦和COCO歯科はこちら🦷
インビザラインのメリットとデメリット
ここではインビザラインのメリットとデメリットについてお話ししていきます。
| メリット | デメリット |
| ・矯正器具が目立たない ・虫歯や歯周病になりにくい ・取り外しが可能で衛生的 ・スポーツや楽器演奏に支障がない ・金属アレルギーの方も治療できる ・通院期間が少ないこともある | ・症例によっては対応していない ・装着忘れで治療期間が伸びる ・マウスピース紛失の恐れがある ・気軽に飲食ができない ・治療中はこまめなケアが必要 ・取り扱う歯科医院が少ない |
インビザラインのメリット

■矯正器具が目立たない

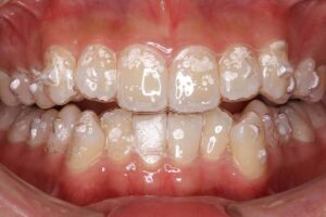
インビザラインの最大のメリットが矯正器具が目立たないので、他の人に治療中だと言うことがバレにくいこと![]()
矯正で使うマウスピースの厚さは0.5mmと薄いマウスピースを使って歯を動かしていきます。触ると弾力があり、つけてみると驚くほど目立たないので、驚く方も多いです。
特に社会人や学生の方など、人前で話す機会が多い方でも見た目のストレスを感じずに矯正治療が進められます。
大事なイベントがある時でもインビザラインはおすすめです。
■取り外しが可能

インビザラインの大きな特徴が矯正器具(マウスピース)が取り外せることです。
そのため、水で丸洗いできますし、通常通り歯磨きもすることが出来ます。
また、短い時間であれば取り外したままでいることも出来ますので、結婚式やミーティング、発表など大事なイベントの時には取り外して参加することが出来ます。
ワイヤー矯正は治療が完了するまで、矯正器具を取り外すことが出来ないのでこれは大きな魅力ですよね?
大事なイベントが多くなる大人の方でもストレスなく矯正治療を進めることができます。
■衛生的で虫歯や歯周病になりにくい

先ほどもお話ししたように、インビザラインでは取り外しができるマウスピースを使うため、毎回の歯磨きも普段どおりすることができます。
また、マウスピースも丸洗いできるので衛生的に使用でき、虫歯や歯周病になりやすい人はインビザラインが向いています。
ワイヤー矯正では歯に細かい器具を固定してしまうことから、器具に食べカスがつまったり、歯垢(プラーク)が溜まりなったりと不衛生になりがちなのがデメリットでした。
しかし、インビザラインではそのデメリットが全て解消されています。
なかなかお手入れは大変ですが、こまめに歯を磨く習慣がつくので、以前よりも虫歯や歯周病のリスクが下がるでしょう。
■スポーツや楽器をする人におすすめ

ワイヤー矯正はスポーツや楽器をする人達にとってパフォーマンスを行えない、口の中を傷つけるなどのデメリットがありました。
しかし、インビザラインは薄いマウスピースを使うため装着したままスポーツを楽しむこともできます。
また、矯正用のマウスピースを外してスポーツの用のマウスピースに変えてスポーツをするなど、その人に合わせた方法で治療が進められます。
また、楽器を演奏する方(特に管楽器など)もインビザラインであれば、装着したままでも口腔内を傷つけることなく演奏できますし、大事な発表の際には外すことも可能です。
■金属アレルギーの方も問題なく治療できる

ワイヤー矯正では矯正器具に金属を使うため、重度の金属アレルギーなどの方は治療ができないこともありました。
しかしインビザラインのマウスピースではポリウレタン素材を使い、金属を一切使用しないことから、金属アレルギーの方でも安心して治療を進めていただけます。
金属アレルギーの方は、治療前に必ずご相談ください。
■通院期間が少ないこともある

矯正治療が始まると、基本的に毎月1回の調整や歯の動きの確認のために通院が必要になります。
これはワイヤー矯正でも同じです。インビザラインは、治療の経過など人によっては2ヶ月〜3ヶ月に一度の通院でいいこともあります。
そのため、仕事が忙しくて毎月通院できない、留学や出張に行くので毎月の通院は難しいという方はワイヤー矯正よりインビザラインが向いているということもあります
参考:インビザライン公式サイト
■世界的に実績と信頼がある

インビザラインはマウスピース型の矯正方法として世界1位の治療実績があります。
そのため、信頼でき安心して治療を受けられるところもメリットの一つです。
2020年の時点で世界100カ国を超える国々で治療が取り入れられ、これまでに800万人を超える人がインビザライン矯正の治療を受けています。
そのため、豊富な症例を元に技術が進歩しているため、より精密にさまざまなケースに対応できるようになりました。
インビザラインのデメリット

■症例によっては対応できない
インビザラインは、毎年多くの症例が集まってくることで幅広い症例にも対応できるようになってきています。
しかし、ワイヤー矯正に比べるとまだまだ症例によってはマウスピース矯正を行えない場合があります。
インビザラインが出来ない症例としては、重度の叢生(歯並びが凸凹)の場合や、歯が少ない場合、抜歯を多く必要とする場合などです。
また、重度の歯周病の場合もち歯が抜けてしまうなどの恐れがあるため行えません。
これはワイヤー矯正でも同じなので、矯正治療を始める前にしっかりと歯周病の治療を行う必要があります。
インビザラインだけでは難しい場合はワイヤー矯正と併用して行う方法などもありますので、最初に歯科医院で相談してみましょう。
■マウスピースの装着忘れで治療期間が伸びる
インビザライン矯正は、ご自身でマウスピースを1日に20時間以上の装着する必要があります。
そのため、長時間装着を忘れてしまうと歯が動いてしまいマウスピースが入らなくなってしまうといったトラブルが起きてしまいます。
計画通りに治療が進まなくなり、予定していた治療期間よりも大幅に伸びてしまうこともあるので注意ましょう。
マウスピースの再作製が必要になったり、伸びた治療期間の分余計な調整料がかかってしまったりお金も時間もかかるので決まった時間マウスピースは装着して下さいね。
■マウスピース紛失の恐れがある
ワイヤー矯正では1度歯に固定してしまうと取り外すことができません。
しかし、インビザラインのマウスピースは取り外しが可能なため、マウスピースを紛失してしまったといったトラブルも起こりがちです。
マウスピースを紛失しまま長期間放置してしまうと、歯が後戻りを起こしその後のマウスピースが合わなくなってしまい最悪の場合はマウスピースを1から作り直さなくてはいけなくなります。
紛失した場合は、速やかに主治医の先生に連絡し1つ前のマウスピースか1つ後のマウスピースを装着するようにしましょう。
紛失したマウスピースは追加作製することもあります。
インビザラインのマウスピースは透明で薄いのでそのまま置いてしまうと紛失するリスクがとても高いです。
紛失しそうだなと不安がある人は、置き場所を決め必ずマウスピースケースに入れて保管するようにしましょう。
■気軽に飲食が出来ない
インビザラインのマウスピースをつけている場合は基本的に飲食が出来ません。
食事をするときはマウスピースを外して、食後に歯磨きをしてから再び装着する手間があるため、小腹が空いたからおやつでも…と気軽に飲食できないのがデメリットになります。
また、コーヒーや紅茶などの飲み物もマウスピースが着色してしまう原因にもなるため、避けるようにしましょう。
糖分の入ったジュースもマウスピースの中に入り込み虫歯のリスクが上がってしまうので避けて下さい。
インビザラインの矯正中はなかなか気軽に飲食できなくなりますが、健康にはいいかもしれませんね!
関連記事:インビザライン矯正中の「飲み物」飲んでOKなものNGなもの
■インビザラインを取り扱う歯科医院が少ない
最近でこそインビザラインを取り扱う歯科医院が増えてきていますが、ワイヤー矯正に比べるとまだまだ取り扱っている医院が少ないのが正直なところ。
家の近くで治療を始めたいと思っても、歯科医院が見つからないこともあるかもしれません。
しかし、インビザラインの矯正が始まれば、月に1度の通院でいいので少々離れた歯科医院でもそこまで負担にはならないと思います。
インビザラインのデメリットを解消する方法

|
・マウスピースを決められた場所に保管する
|
先ほど紹介したインビザラインのデメリットですが、以上のことに注意すればそこまで負担にはならないと思います。
マウスピースつけ忘れや紛失は、マウスピースの管理を習慣化させることで回避できます。
決まったマウスピースケース(インビザライン専用のマウスピースもお渡しします)に入れて洗面所など決まった場所に保管する。
装着する時間を食事のタイミングなどを計算して、1日に20時間以上になるように事前に決めてルーティーン化させましょう。
またインビザラインの矯正を始める前にはいくつかの歯科医院で無料相談を受けて、インビザラインが適応なのか通いやすいのか確認するといいでしょう。
さまざまなケースがインビザラインで治療可能に

インビザラインが出てきたばかりの頃は治療できる症例が限られているため、ある一定の人しかインビザラインの適応にならないというところがデメリットでもありました。
しかし、近年インビザラインの技術が進歩したことから、さまざまなケースでインビザライン矯正ができるようになってきており、メリットへと変わってきています![]()
以前はインビザラインができないと断られた方も一度、当院でご相談ください。
インビザラインとワイヤー矯正のメリットとデメリットを比較

矯正治療を検討しているけど、ワイヤー矯正にしようかインビザラインにしようか迷っている方は、2つの治療方法のメリットとデメリットをしっかりと比較検討して決めましょう。
| インビザラインのメリット | ワイヤー矯正のメリット |
|
・取り外しが可能 | ・ほとんどの症例で対応可能 ・歴史が長く安心できる ・対応している歯科医院が多い ・歯並びの細かい調整ができる ・目立たない白い装置がある |
|
インビザラインのデメリット | ワイヤー矯正のデメリット |
|
・対応できない症例がある | ・矯正装置が目立ちやすい ・歯磨きが難しい ・口内炎ができやすい ・ワイヤー装着後は痛みを感じやすい |
インビザラインの1番のメリットといえば、矯正装置が目立たないことと取り外しが可能なことです
特に社会人で人前で話す機会が多い人や、イベントが多い人はインビザラインが向いているでしょう。
ただし、マウスピースの自己管理が重要で1日の装着時間を守らないといけないので、ズボラさんは少し大変かもしれません![]()
一方ワイヤー矯正は、矯正治療でも1番歴史が長いためほとんどの症例で対応が可能で、安心と信頼があることが1番のメリットでしょう![]()
インビザラインが適応でない方もワイヤー矯正と併用すれば治療ができるといったケースも多いです
ワイヤー矯正は矯正装置の見た目を気にされる方もいますが、最近では白い器具など目立たないものが増えてきており、ワイヤー矯正のハードルが下がってきています。
当院でも、インビザライン矯正をする方には場合によってワイヤー矯正と併用になることもあるとご説明させていただいております。
当院のインビザライン矯正

当院でもワイヤー矯正の他にインビザライン矯正を行っております。
抜歯をなるべくしない非抜歯の矯正をおすすめしており、他院で抜歯が必要と言われた方も一度相談してみて下さい。
豊富な実績と経験があり、安心して治療ができるように事前にしっかりメリットとデメリットの点についても詳しく説明させていただいています。
インビザラインのカウンセリングは無料で行っておりますので、不安なことがあれば気軽に質問して下さいね。
費用など詳しくは、こちらからご確認ください:北戸田coco歯科矯正治療専門サイト
まとめ
・インビザライン矯正にもメリットとデメリットの面がある
・最大のメリットは矯正器具が目立たないことや取り外しが可能なこと
・デメリットは症例によっては対応してなかったりマウスピースの紛失や装着忘れがあること
人気のインビザライン矯正ですが、どんな治療にも良い点悪い点があるように、デメリットの面も存在します。
特にインビザラインは自己管理が必要になるのでその点だけしっかりと守っていただければ問題なく治療が進められます。
何より矯正治療中なのがバレにくいのは大きなメリットなので、矯正を考えている人はぜひインビザラインで始めてみませんか?
こちらの記事もおすすめ:インビザライン矯正の無料相談ってどんなもの?聞いておくべき6つの質問
参考:日本矯正歯科学会
