こんにちは北戸田coco歯科です。
インビザライン矯正は透明なマウスピースを使って歯を動かしていく近年人気のある歯科矯正です。
インビザライン矯正をはじめるにあたって、大きな被せ物の歯はなくても小さな白い詰め物が入っていて治療に影響がないのか不安を抱いていらっしゃる患者さまも多いかと思います。
今回は白くて小さな詰め物についてお話しいたしますね。
武蔵浦和近辺にお住まいの方で虫歯治療やインビザラインを検討されている方。
北戸田COCO歯科では、一般歯科やインビザラインを始めとする様々な治療に対応しており、武蔵浦和COCO歯科でも同様の診療を行なっております。
まずはお気軽に歯科検診へいらしてください。
>>武蔵浦和COCO歯科はこちら🦷
目次
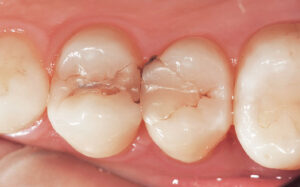
白い詰め物のコンポジットレジンとは?

保険治療で使われている白い小さな詰め物の正体はコンポジットレジンです。
コンポジットレジンは歯科医院などで略して「CR(シーアール)」とも呼ばれています。
・コンポジットレジン(CR)はどんなもの?
コンポジットレジン(CR)とは歯科治療に使われている白いプラスチック素材の詰め物です。
白いペーストのプラスチックでできたものを歯科用LEDライトで固めます。保険診療に使えるものです。
・コンポジットレジン(CR)を使った治療とは?

CRは主に小さな虫歯を治療する際に使用します。虫歯の部分を削り取って、そこへ白いペースト状のプラスチックでできたものを直接詰めていきます。
適量詰めたら歯科用のLEDライトを使用して固めます。
被せ物を作るほどではないような小さな虫歯はCRで治療することが多いです。
インビザライン矯正で白い詰め物をしたところは大丈夫?

小さな白い詰め物のCRをした部分はインビザライン矯正をはじめるにあたって、問題はないのでしょうか。詳しくお話させていただきますね。
・コンポジットレジン(CR)の部分はインビザライン中に問題はない?
結論から言いますと、CRをしてある部分も問題なくインビザライン矯正をおこなうことができます。
CRで治療できる程度の虫歯の大きさでしたら範囲も小さいでしょうし、CRが変形してしまってインビザライン矯正に影響がでるといったことはほとんど心配いらないかと思います。
インビザライン矯正後に噛み合わせが大きく変わって合わなくなってしまったら、CRをやり直す可能性もありますのでご留意ください。
・インビザラインでCRが外れることはないの?
CR治療をおこなってから長い期間経っている場合には、劣化していてインビザライン矯正をしている最中に外れたり割れたりすることもありますので、ご注意ください。
経年劣化で外れてしまうのはインビザライン矯正が原因というわけではなく、矯正をおこなっていなくても起こり得ることです。
劣化しているCRは二次虫歯の原因にもなりますので、早めに治療し直してもらうようにしましょう。
インビザライン中に虫歯になった場合も白い詰め物をすることも

インビザライン矯正中は普段よりもお口の中が虫歯になりやすい環境のため、丁寧なホームケアが必要です。万が一虫歯になってしまったときには、CRで治療することがあります。
・小さい虫歯はCRだけで治療できるの?
小さい虫歯でしたら削る箇所も小さく済みますし、CRで治療してそのまま治療用のマウスピースをはめることができる場合が多いです。
その際、マウスピースがはまりにくいときなどは多少の調整が必要なこともあります。
しかし、その場で調整できるものですのでインビザライン矯正の治療計画が大きくずれてしまう心配はありません。
・大きい虫歯はCRだけでは治療できないの?
大きい虫歯ができてしまうとCRのみでは治療できません。銀歯の被せ物のような、歯全体を被せる治療になっていきます。
大きい虫歯で被せ物を作らなければいけないとなると、歯の形が変わってしまいます。
CRのみで処置が完了する小さな虫歯のケースと違い、大きな虫歯を治療せざるを得ない場合にはインビザライン矯正のマウスピースがはまらなくなってしまう可能性が高いです。
・虫歯治療で歯の形が変わってマウスピースがはまらなくなったらどうするの?
虫歯が大きく治療により歯の形が大きく変わってしまった場合、もう一度歯形をとりインビザラインの会社にデータを送ってマウスピースを作り直すことになります。
マウスピースの再製作することになると、矯正の治療計画がスムーズに進まなくなってしまうどころか、マウスピースの再作成代がかかってくるなど、大幅に負担が増えてしまいます。
さらに、インビザライン矯正のマウスピースを製作する工場はアメリカにあるため、すぐに新しいマウスピースをお渡しできるわけではありません。
そのため、インビザライン矯正中は普段よりも虫歯にならないようにホームケアをしっかりとおこなって過ごしてください。
保険の白い詰め物と自費の白い詰め物

同じように白い詰め物でも、保険診療の白い詰め物と自費診療の白い詰め物は全く違います。
それでは保険で使っている材料と自費で使っている材料はどのようなものなのでしょうか。詳しくお話いたします。
・保険で使っているCRと自費のセラミックの違いとは?
同じように白い詰め物なのだから、保険も自費のものも変わらないとお思いの患者さまもいらっしゃるかもしれません。
保険で使っているCRはプラスチック素材で長いあいだ使っていると変色しやすく割れたりヒビが入ることがあります。
自費診療のセラミック素材のインレーは細かく色をつけることができるためお口の中に馴染みやすく、軽くて変色しにくいという特徴があります。
・セラミックインレーは金属アレルギーがあっても大丈夫?
セラミックインレーは金属を使っていません。ですので、金属アレルギーがある患者さまでも安心して使用することができます。
・インビザライン矯正中の自費の白い詰め物はどうなるの?
インビザライン矯正中は、基本的にはCRと同じように自費の白い詰め物もそのまま治療を進めることができます。
しかしながら、噛み込む面(咬合面)だけのインレーでも噛み合わせが変わって合わなくなってしまうこともあるのです。
そういった場合には、セラミックインレーを作り直さなければならないこともあります。
コンポジットレジンは長い時間が経つと劣化する

参考:https://pdf.dental-plaza.com/dentalmagazine/no154/154-10/
コンポジットレジンはプラスチック素材のため、長い時間が経つと劣化してしまいます。
これは材料の性質なのでどうしても避けることはできません。
・コンポジットレジン(CR)は劣化するとどうなるの?
・着色、変色
・噛み込むことで少しずつ削れてくる
・ヒビが入る、割れる
コンポジットレジン(CR)は長年使っていると色の濃い食べ物や飲み物の影響で変色してきます。
また、患者さまご自身の歯よりも柔らかいプラスチック素材ですので少しずつ削れてきてしまうのです。さらに経年劣化によりヒビが入ったり、割れたりといった破損の可能性がでてきます。
・コンポジットレジンで経年劣化以外に注意することとは?
コンポジットレジン(CR)はその場で虫歯部分を削ってすぐに治療をすることができます。
保険も効きますし治療が一回でできるため、気軽に受けることができることが魅力です。しかし、実は材料の性質上レジンと歯の隙間ができやすくなっています。
少しでも隙間がないほうが二次虫歯になりにくいため、信頼のできる歯科医師のもとで治療を受けるようにしてくださいね。
北戸田coco歯科のインビザラインについて

当院では、豊富な知識と経験のある日本矯正歯科学会認定医が在籍しています。
さらに総合歯科医院のため、当院で矯正治療からむし歯の治療や親知らずの抜歯などの一般歯科治療も全て対応可能ですのでお口の悩みがある方は何でもご相談ください。
当院の矯正治療については以下のリンクからチェックしてみてください![]()
まとめ
インビザライン矯正中は唾液の自浄作用が期待できないため、お口の中が虫歯のできやすい環境になっています。
虫歯ができないように丁寧にホームケアをしていても、残念ながら虫歯ができてしまうこともあるでしょう。小さな虫歯であれば、コンポジットレジン(CR)でも治療できます。
CRは見た目は白いですが、自費のものと違い経年劣化しやすいです。インビザライン矯正後に作り変える際には、できれば自費のセラミックインレーをオススメいたします。
透明なマウスピースで目立つことなく、白い詰め物があっても治療を進めることができるインビザライン矯正で理想的な歯並びを目指しましょう。
こちらも記事もおすすめ:インビザライン矯正中の被せ物や銀歯について
