こんにちは北戸田coco歯科です。
インビザライン矯正は透明なマウスピースを使用して、目立つことなく治療できる近年人気のある歯科矯正のひとつです。
マウスピースで歯に力をかけて動かす治療なのですが、マウスピースにプラスして突起物(アタッチメント)をつけるケースがあります。
今回はインビザライン矯正と突起物(アタッチメント)について詳しくお話させていただきますので、ぜひご参考になさってくださいね。
武蔵浦和近辺にお住まいの方でインビザラインを検討されている方。
北戸田COCO歯科では、インビザラインを始めとする様々な矯正治療に対応しており、武蔵浦和COCO歯科でも同様の診療を行なっております。
インビザラインではどんな処置を行うのか?など患者様のどんな疑問にもお答えしますので、まずはお気軽にご相談ください。
>>武蔵浦和COCO歯科はこちら🦷
目次
インビザラインについている突起物ってなに?

インビザライン矯正は、マウスピースのみで矯正が完了するとお考えの患者さまもいらっしゃるかと思います。
しかしながら、歯の表面はツルツルしていて引っかかりがありませんのでマウスピースのみでは浮いてしまい矯正力が足りないケースが多いです。
そのような場合に突起物を使用することがあります。
・インビザラインの突起物はどんなもの?

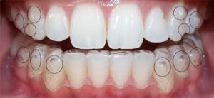
インビザライン矯正で使用する突起物は「アタッチメント」と呼ばれています。アタッチメントは小さくて目立ちにくい突起物です。
アタッチメントは基本的に歯に直接つけるもので、インビザラインのマウスピースについている突起は、歯についたアタッチメントを受け止める凹みになっています。
・インビザラインの突起物(アタッチメント)の主な役割とは?

アタッチメントはマウスピースが浮いてしまうことを防いでくれるという重要な役割があります。
マウスピースが浮いてしまうと、思ったように歯を動かすことができません。そのような状態が続いてしまうと治療計画がスムーズに進まない原因になってしまうのです。
また、マウスピースの浮きを防ぐ以外にもマウスピースだけでは歯を動かしたい場所へ動かせない場合に、補助のために取り付けます。
このような理由から、矯正の治療計画をスムーズに進めるためにもアタッチメントはとても大切なものです。
・アタッチメントはどんな材質なの?
アタッチメントは歯の詰め物や被せ物にも使われるコンポジットレジン(CR)というプラスチック素材でできています。
歯に近い色でできていますので、ほとんど目立つことはありません。
また、コンポジットレジン(CR)はメタルフリー素材のため、金属アレルギーの心配がある方も安心して使用することができる材料です。
突起物はどの部分についているの?

突起物(アタッチメント)は患者様の歯の表面につけていきますが、つける部位に関しましては患者さまのケースによってさまざまです。
大きく歯を動かしたいところや捻れている歯を動かすときに、マウスピースの矯正力の補助の役割としてつけます。
・アタッチメントの種類とは?
アタッチメントは大きく分けて2種類あります。
ひとつは歯科医師が患者さまの歯に直接処置する「通常アタッチメント」、もうひとつはインビザライン矯正のマウスピース製作会社がマウスピースに設置する「最適アタッチメント」です。
・通常アタッチメントについて
通常アタッチメントは歯科医師が患者さまの歯の表面へ貼り付けます。
歯科医師が直接患者さまの状態をみながら設置することができるため、設置の有無やアタッチメントのサイズの変更が臨機応変に可能です。
・最適アタッチメントについて
最適アタッチメントは移動の距離や移動の仕方、歯の形状などから自動的にカスタムメイドされます。
最適アタッチメントは歯科医師がつけるものではなく、インビザラインの製作会社ですでにマウスピースに設置された状態で送られてくるものです。
突起部分が舌に当たって違和感がある

突起物(アタッチメント)をつけたばかりのときには、突起部分が舌に当たって違和感があることがあります。
そんなときには、どのように対処したらいいのかお話させていただきます。
・突起物(アタッチメント)で違和感があるときには?
アタッチメントをつけたばかりですと、それまではツルツルしてなめらかだった歯の表面がボコッとして違和感があります。
軽い違和感程度でしたら、数日すると慣れてくることがほとんどですのでご安心ください。
・しばらくしても違和感が消えない、痛みがあるときには?
アタッチメントをつけてから数日経っても違和感が消えない場合や、痛みがあるときには我慢なさらずに歯科医師へご相談ください。
突起物(アタッチメント)部分のケアの仕方

インビザライン矯正中のお口の中のケアは、いつもよりも丁寧におこなっていらっしゃる患者さまがほとんどかと思います。
アタッチメント部分はより細かくケアをおこなうことがオススメです。
・アタッチメント部分は汚れが溜まりやすい
アタッチメントをつけるとデコボコとした部分ができることから、どうしてもその箇所に汚れが溜まりやすくなってしまうのです。
これはアタッチメントを使用する上で避けることができません。しかしながら、丁寧なケアをおこなうことで汚れが溜まるのを防ぐことができます。
・アタッチメント部分のケアの仕方

アタッチメント部分の汚れを落とすには、通常おこなっているブラッシングや歯間ブラシ・デンタルフロス以外にもタフトブラシを使用してケアすることがオススメです。
タフトブラシは歯ブラシよりもヘッド部分が小さいため、細かい部分のケアに向いています。
タフトブラシを使ったケアの仕方がわからないときには、歯科医院で詳しく聞いておくと良いでしょう。
突起物(アタッチメント)のトラブルについて

ここでは、アタッチメントによる起こりやすいトラブルについてお話ししていきます!
・アタッチメントが外れてしまったときには?
アタッチメントは歯の表面に貼り付けているだけで、インビザライン終了後には取り外すものです。
そのため、外れてしまうというトラブルが多々あります。アタッチメントが外れてしまったときには、すぐに処置しなければならないというわけではありません。
しかしながら、外れたまま長期間過ごしていると治療計画通りに歯が動かない可能性がありますので、お早めに歯科医院へご相談ください。
・マウスピースが取り外しにくくなってしまったときには
アタッチメントを取り付けると、マウスピースが歯に密着しやすくなるため取り外しがしにくくなります。
歯に密着させることはマウスピースの浮きを防ぐためにも必要なことです。
しかしながら、密着している分マウスピースの取り外しが難しくなってしまうため無理やり外そうとすると破損してしまう可能性があります。
マウスピースの破損を防ぐためにも、アタッチメントをつけたときには歯科医院で取り外し方のコツを聞くようにしてください。
・アタッチメントの見た目が気になる
アタッチメントは歯に近い色ですのではっきりと目立つものではありませんが、近くでよく見るとわかるものです。
インビザライン矯正を選択した患者さまは審美性を気にしてマウスピース矯正になさった方も多いかと思います。
アタッチメントの見た目がどうしても気になる患者さまはアタッチメント設置前にどのように見えるものなのか歯科医師へご確認ください。
当院のインビザライン矯正

当院では、豊富な知識と経験のある日本矯正歯科学会認定医が在籍しています。
さらに総合歯科医院のため、当院で矯正治療からむし歯の治療や親知らずの抜歯などの一般歯科治療も全て対応可能ですのでお口の悩みがある方は何でもご相談ください。
まとめ
インビザライン矯正の突起物(アタッチメント)は見た目は小さくて分かりづらいですが、マウスピースだけでは動かすことが難しい部分や足りない矯正力を補ってくれる重要な役割を担っています。
アタッチメントをつけたばかりのときには、デコボコとした舌ざわりが気になるかもしれません。
これは数日経つと落ち着くものですので、少し様子を見てどうしても気になるようでしたら歯科医師へご相談ください。
アタッチメントは歯と同じような色をしていますし、インビザライン矯正は透明なマウスピースを使用しますので目立つことなく治療できます。インビザライン矯正で理想的な歯並びを目指しましょう。
