こんにちは北戸田coco歯科です!
インビザライン矯正では、マウスピースの装着だけで歯並びが整えられると思われがちですが、症例によって歯に「アタッチメント」や「リンガルボタン」といった補助装置を付けることがあります。
どちらも歯並びと噛み合わせを整えるために必要な装置です。本記事では補助装置の中でもリンガルボタンについて紹介します。
インビザラインではマウスピースを装着する以外にも様々な処置を行いますが、意外と知らない方が多いのではないでしょうか?
武蔵浦和近辺にお住まいの方でインビザラインを検討されている方。
北戸田COCO歯科では、インビザラインを始めとする様々な矯正治療に対応しており、武蔵浦和COCO歯科でも同様の診療を行なっております。
詳しい治療内容や費用などについて、不安な点があれば矯正相談でなんでもお話しください!
>>武蔵浦和COCO歯科はこちら🦷
目次
インビザラインのリンガルボタンとは?

出典:https://www.osecompany.com/
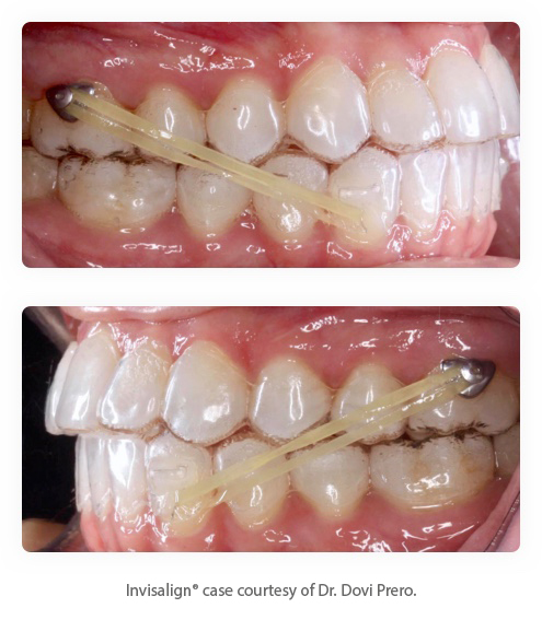
インビザライン矯正をはじめマウスピース矯正では、症例によって歯の表面にリンガルボタンを付けて「顎関ゴム」を掛けることがあります。
ワイヤー矯正では、ブラケットに付いているフックでゴムが掛けられますが、インビザライン矯正はフックを付ける必要があるため、リンガルボタンを付けます。
リンガル(舌側)と言いますが、リンガルボタンは舌側だけでなく表側に付けることも多いです。
上あごと下あごのマウスピースにゴムを引っ掛けて、ゴムが引っ張り合う力を利用して歯を動かすことです。顎関ゴムには種類によって太さや大きさが異なり、ケースに合わせて適切なサイズを使用します。
また、全ての症例で顎関ゴムが必要なわけではなく、歯並びや噛み合わせによって不要な症例もあります。
リンガルボタンを使用するケースでは、あらかじめマウスピースに「ボタンカット」と呼ばれる切り込みが入っています。
また、リンガルボタンを使用しないケースもあり、その場合はマウスピースに「プレシジョンカット」と呼ばれる切り込みが入っていることもあります。
プレシジョンカットの場合は、マウスピースに直接ゴムを掛けるため、口を開けるとマウスピースが外れてしまうことも。
そのため、矯正力をしっかり加えたいときはリンガルボタンを使用することが多いです。
リンガルボタンを付けて顎関ゴムを掛ける目的

リンガルボタンを付けて顎関ゴムを掛ける目的は、以下の通りです。
- 上あごの歯を後方に動かす
- 歯を垂直に動かす
- 歯が斜めに動くのを防止する
- 噛み合わせのズレを改善する
■上あごの歯を後方に動かす
出っ歯や正中のズレを改善する際、前歯や奥歯を後ろに移動させることがあります。リンガルボタンと顎間ゴムを使用することで、上の歯を後ろに引くことができます。
■歯を垂直に動かす
矯正治療は歯を左右に移動させるだけでなく、歯の高さを合わせるために垂直に移動させることもあります。
たとえば、歯ぐきから生えた八重歯は、他の歯よりも高い位置に生えていることが多いです。
それを引っ張る目的でリンガルボタンを付けて顎間ゴムを使用することがあります。
■歯が斜めに動くのを防止する
抜歯を必要とする症例で前歯を後ろに移動させると、抜歯した隣の歯が引っ張られて斜め前に移動してきます。
斜め前に移動すると歯を並べるスペースが小さくなり、正しい歯並びと噛み合わせに治すことが困難になることも少なくありません。
このような望ましくない移動を防止する目的でリンガルボタンと顎間ゴムを使用することがあります。
■噛み合わせのズレを改善する
矯正治療ではまず、歯を並べてから噛み合わせを整えることが一般的です。そのため、歯並びが整っているように見えても、上下の噛み合わせが整っていないことがあります。
噛み合わせのズレを改善するためにリンガルボタンと顎間ゴムを使用して調整することもあります。この場合、矯正治療終盤で行うことが多いです。
リンガルボタンの種類

インビザライン矯正で使用するリンガルボタンには、以下の種類があります。
- 金属製のリンガルボタン
- プラスチック製のリンガルボタン
- フック付きのリンガルボタン
■金属製のリンガルボタン
金属製のリンガルボタンは接着力が強く、強い力に耐えることができます。
しかし、金属色で目立つデメリットがあり、インビザライン矯正では主に奥歯に付けることが多いです。
■プラスチック製のリンガルボタン
プラスチック製のリンガルボタンは透明なため目立ちにくいメリットがあり、小臼歯に付けることが多いです。
しかし、金属製のリンガルボタンと比較すると接着力が弱いため、取れやすいデメリットがあります。
■フック付きのリンガルボタン
リンガルボタンに小さなフックが付いているので、ゴム掛けしやすいのがメリット。歯の裏側やゴム掛けしにくい箇所に付けることが多いです。
ただし、フックの部分が粘膜にあたりやすいため、慣れるまで違和感を覚えやすいことがあります。
リンガルボタンを付けるタイミングは?

インビザラインでリンガルボタンを付けるタイミングは、症例によって異なります。
たとえば、インビザライン矯正を始めてからすぐに付ける場合もあれば、噛み合わせを調整するために矯正治療の終盤で付けることもあります。
ゴム掛けは矯正中ずっと掛けていることはなく、矯正期間中の2~3ヶ月間程度行います。また、ゴムは使用すると伸びて矯正力が低下するため、最低でも1日1回は新しいゴムに交換しましょう。
マウスピースと同様に自分で着脱が行えるため、食事と歯磨き以外は付けたままになります。
ゴム掛けを忘れたりサボったりすると、治療期間が延びて仕上がりに影響が出る可能性があります。ゴム掛けは矯正治療の中でも大切な工程なので、決められた期間はしっかりゴム掛けをしましょう。
インビザラインのリンガルボタンに関するよくあるトラブル

ここでは、インビザラインのリンガルボタンやゴム掛けに関するよくあるトラブルについて紹介します。
■インビザラインのリンガルボタンが取れた
顎間ゴムの使用中に口を大きく開けると、ゴムが引っ張られる力でリンガルボタンが取れてしまうことがあります。その場合、以下の方法で対処しましょう。
- 歯科医院に連絡する
- マウスピースに切れ込みを入れる
リンガルボタンが取れたらまずは歯科医院に連絡し、指示に従います。次の通院日までそのままにすると、その分治療が進まず、治療期間が延びてしまう可能性があります。
必要であればすぐに付け直してもらえるので、取れてしまったリンガルボタンを持って来院しましょう。
すぐに歯科医院へ来院できない方は、ゴムを掛けられるようにマウスピースに切れ込みを入れるのも有効です。
爪切りなどを使用し、リンガルボタンが付けてあった箇所のマウスピースに切れ込みを入れるとゴムが掛けられるようになります。
ただし、あくまでも応急処置なので、できるだけ早めに歯科医院で付け直しをしてもらいましょう。
■リンガルボタンがあたって痛い
金属製のリンガルボタンの場合、舌や粘膜にあたると痛みを伴うことがあります。
このような場合、リンガルボタンに矯正用ワックスを付けて粘膜にあたらないようにすることも可能です。また、ほとんどの場合、1週間程度で慣れることで痛みがおさまります。
まとめ
インビザライン矯正で使用するリンガルボタンは、主に顎関ゴムを掛ける目的で使用します。顎関ゴムは
- 上あごの歯を後方に動かす
- 歯を垂直に動かす
- 歯が斜めに動くのを防止する
- 噛み合わせのズレを改善する
といった目的で使用することが多く、インビザライン矯正の中でも仕上がりに影響する大切な工程です。しかし、希にゴムの力によってリンガルボタンが取れてしまうことがあります。
その場合は次の通院日まで待たずに、歯科医院に連絡し、付け直してもらいましょう。
こちらの記事もおすすめ:インビザラインで歯並びの変化はいつから?治療中・後に感じる変化
