こんにちは北戸田coco歯科です!
お子さんの歯を見たときに、他の歯と形が違うような気がすると感じた親御さんがいるかもしれません。もしかしたら癒合歯と呼ばれる歯が生えている可能性があります。
「癒合歯(ゆごうし)」とは、2本の歯がつながって1本の歯のように見える状態のことです。この現象は聞き慣れないかもしれませんが、乳歯では1~5%で発生すると言われています。
癒合歯は、むし歯になるリスクが高まるばかりか、永久歯の歯並びにも影響を与えてしまう可能性があります。そこで本記事では、癒合歯の原因や悪影響、治療法などについて解説します。
武蔵浦和近辺にお住まいの方でお子様の歯で気になることがあるという親御さんへ。
北戸田COCO歯科では、お子様の虫歯治療の他にも小児矯正や歯の異常に対する治療に対応しており、武蔵浦和COCO歯科でも同様の診療を行なっております。
お子様が楽しく通院できる院内になっていますので、まずはお気軽にご相談ください!
>>武蔵浦和COCO歯科はこちら🦷
目次
■癒合歯とはどんな歯か?

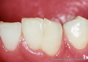
出典:口腔病理基本画像アトラス
歯は、外側から順にエナメル質・象牙質・セメント質、そして中心には神経や血管が通っている歯髄(しずい)からなります。
癒合歯とは、本来であれば別々に生えてくるはずの2本の歯が、象牙質でくっついた状態で生えて1本に見える状態のことです。癒合歯は乳歯で1~5%、永久歯では0.2~0.3%で発生すると言われています。
参考:デンタルダイアモンド
以下は癒合歯が起こりやすい部位です。
- 下の前歯同士
- 下の歯の前から2番目の歯と犬歯
- 上の前歯と2番目の歯
また、くっつき方によって以下のように分類されます。
- 癒合歯:2本の歯が象牙質でくっついた状態(歯髄がつながっていることもある)
- 癒着歯(ゆちゃくし):2本の歯がセメント質でくっついた状態
- 双生歯(そうせいし):2本の歯が歯髄でくっついた状態
癒合歯は歯が完全に生えた状態でないと見分けがつきにくいです。また、歯の内部でくっついているかどうかはレントゲンを撮らないとわかりません。
ただし、1本の歯だけほかの歯よりも大きかったり、歯に溝が入っていたりと見た目が不自然であるため、ご家庭でも簡単に判断できます。
歯の大きさや本数が左右で異なる場合は、癒合歯の可能性が高いです。
■癒合歯の原因

癒合歯の原因ははっきりとわかっていませんが、お腹の中にいる頃に形成される歯のもととなる「歯胚(しはい)」が、何らかの原因でくっついてしまうという説が有力視されています。
乳歯のもととなる歯胚は胎生7週~10週頃から、永久歯のもととなる歯胚は胎生3ヶ月半頃から形成されます。
そのため、乳歯が癒合歯でも、永久歯の歯胚が正常に形成されれば正常に生えてくる可能性があります。
ただし、永久歯の歯胚が正常に形成されなかった場合は、永久歯が生えてこないため本数が少なくなることも。
この場合、歯並びと噛み合わせが乱れてしまうため、矯正治療を視野に入れて経過観察する必要があります。
■癒合歯の治療法

癒合歯と診断されたら、どのような治療方法があるのか気になる保護者の方は多いでしょう。
癒合歯に対しては、一般的に歯を削るといった処置を行うことはありません。ただし、むし歯予防のため、以下のような処置を行います。
- フッ素塗布
- シーラント
- レントゲン撮影
フッ素塗布
フッ素は、歯を強化し、むし歯に対する抵抗力を高めることができる薬剤です。むし歯は歯垢の中に存在する原因菌が酸を出すことで、歯の表面を溶かすことで生じます。
フッ素にはむし歯菌の働きそのものを抑制する作用があることに加えて、歯の表面を強化します。歯を削ることなく、簡単にできる予防法の一つです。
シーラント
シーラントとは歯の溝やくぼみなどに、フッ素を配合した樹脂を流し込んで塞ぐ処置のことです。
癒合歯は歯と歯がくっついている部分に溝ができるため、そこに汚れが蓄積するとむし歯のリスクは高まります。
シーラントで溝を埋めることによってむし歯菌の繁殖を抑え、歯の表面を強化する効果が期待できます。
レントゲン撮影
癒合歯は、永久歯にも歯の異常が生じやすくなるため、3~4歳を過ぎたお子さまは、レントゲンを撮って永久歯の有無を確認し、定期的に確認することをおすすめします。
歯の生え変わり時やトラブルが起こる前に予防と早期発見ができ、スムーズな治療が期待できます。
癒合歯を特別な処置を行うことはありませんが、定期的な検診でフッ素塗布やシーラント、レントゲン撮影など行い、将来的なむし歯のリスクを回避することが可能です。
また、むし歯など異常があれば、スムーズに処置を行えます。
■癒合歯の悪影響

癒合歯があると、永久歯がきちんと生えてこなかったり、乳歯が抜けなかったりすることがあります。ここでは、癒合歯の悪影響について解説します。
むし歯になりやすい
癒合歯はむし歯のリスクが高い傾向にあります。なぜなら、歯がくっついている部分は溝になっており、歯ブラシが届きにくく、しっかりとケアすることが難しいためです。
そこに食べかすや汚れが溜まってしまうと細菌が繁殖し、むし歯の原因となります。丁寧に歯磨きを行い、定期的に歯科医院でクリーニングを受けることが必要です。
歯並びが悪くなる可能性がある
癒合歯があると、生えてくるはずの永久歯がない場合があります。
永久歯の歯並びに影響を与えてしまい、歯の真ん中にズレが生じたりすきっ歯になったりする可能性があります。
そのため、生え変りの時期は、定期的に観察し、矯正治療などを視野にいれた方が良いでしょう。また、乳歯が癒合歯の場合、永久歯も癒合歯で生えてくることもあります。
このような場合は、被せ物などで歯の形を整えたり、審美治療を行なったりすることもあります。
歯の生え変りに影響を与えることがある
乳歯が抜ける際は、歯の根っこが吸収されて(短くなって)抜けることが一般的ですが、癒合歯の場合は歯の根っこが吸収されにくく、自然に抜けるのが難しいことがあります。
また、永久歯が正常に2本ある場合は、それぞれ生える時期が異なるため、一部の乳歯の根っこの吸収がされずに残ってしまうことも。
この場合、レントゲン撮影を行い、永久歯が歯を支えている骨にあるかを確認し、抜歯するかどうか判断します。
■癒合歯と診断されたら

癒合歯は割と多くみられるため、診断されても過度な心配はいりません。
ただし、保護者の方は、お子さまの歯のケアをしっかり行い、むし歯にならないようにしてあげることが大切です。ここでは、お子さまが癒合歯と診断されたときの注意事項を紹介します。
むし歯にならないようにする
癒合歯は、歯の形状がいびつになっていることが多いため、歯ブラシが届きにくく磨き残しが多発しやすくなります。
また、通常の歯ブラシではつながっている部分に毛先が届かないこともあります。
ヘッドが小さい歯ブラシやタフトブラシを使って癒合歯を重点的に磨いてあげると良いでしょう。
お口の中をよく観察する
お子さまの歯を毎日観察できるのは、保護者の方です。
仕上げ磨きの際に、異常がないかお口の中をよく観察しましょう。歯の色や歯ぐきの状態などに異変がある場合は、早めに歯科医師に相談することが大切です。
定期検診を受ける
日々のケアに加えて、歯科医院での定期的なチェックを受けましょう。
歯科医院では、歯のクリーニングはもちろん、シーラントやフッ素塗布を行うことができます。
また、生え変りの時期に十分対応できる歯科医院を早めに見つけておくことで、永久歯に問題が生じても早期に対処することができます。
矯正治療も視野に入れておく
癒合歯の場合、将来矯正治療が必要になる可能性があることを視野に入れておきましょう。
上記でも解説した通り、癒合歯は基本的に治療を必要としませんが、永久歯の歯並びに悪影響を与えることがあるからです。
矯正治療が必要になるかどうかは、症例によって異なりますが、永久歯に生え変わるタイミングで歯科矯正が必要になることもあります。
■まとめ
癒合歯は、2本の歯が1本の歯になったように見える状態です。癒合歯は特別に処置を行うことはありません。
ただし、むし歯のリスクが高まったり、永久歯に影響を与えることもあるため、経過観察が必要になります。
日頃のケアはもちろんのこと、定期的に歯科医院に通院しましょう。
こちらの記事もおすすめ:乳歯が生えたらすぐ虫歯予防すべき3つの理由とは?歯医者さんが解説
