こんにちは北戸田coco歯科です!
芸能人のような輝く白い歯に憧れる方も多いですよね。通常のブラッシングで歯の汚れをキレイに落としても歯を白くするには限界があります。
そこで、ホワイトニングをはじめてみたはいいけど思ったよりも歯が白くならないことがあるのです。今回はホワイトニングで歯が思ったよりも白くならない原因についてお話しいたします。
目次
■ホワイトニングで歯が白くならない原因

ホワイトニングをすると誰でも輝く真っ白な歯を手に入れられるわけではありません。ここでは歯が白くならない代表的な原因をお伝えします。
・歯のエナメル質の問題
歯のエナメル質の密度がもともと高くて硬い方やご高齢の方は、ホワイトニングの薬剤が浸透しづらくなります。そのため、すぐには歯が白くならないのです。
特にホームホワイトニングですと、ホワイトニングの薬剤の濃度が低いためエナメル質密度が高い方やご高齢の方は効果がでにくいでしょう。そのようなときは、何度も使用して少しずつ歯を白くしていきます。
・詰め物をしている歯
差し歯や樹脂の詰め物はホワイトニングでは白くすることができません。そのため、大きな詰め物が入っている歯はホワイトニングをしても白くなってないように見えることがあるのです。
差し歯や詰め物の入っている歯以外の歯が理想的な白さになったら、白くなった歯に合わせて差し歯や詰め物を作り直すとお口の中全体がキレイになります。
差し歯や詰め物が多い患者さまは、作り直しの費用も含めてコストがどれくらいかかるか相談しておくと後々安心かもしれませんね。
・神経が死んでいる・ない歯
歯の治療で神経をとっている歯は、通常のホワイトニングでは効果がでません。また、
神経をとっていない歯でも強くぶつけたり歯科矯正が原因で神経が死んでいることがあります。そのような場合も、通常のホワイトニングでは効果がでません。
神経が死んでいる、もしくはない歯には、インターナルブリーチ(ウォーキングブリーチ)という歯の内側にホワイトニングの薬剤を入れて白くする方法があります。インターナルブリーチも通常のホワイトニングと同様に自費診療です。
・抗生物質が原因で変色した歯
永久歯が形成される子どものころに一定の抗生物質を多量に接種すると歯が変色することがあります。
抗生物質が原因で変色した歯は「テトラサイクリン歯」とよばれ、通常のホワイトニングで白く戻すのは難しいです。
・エナメル質が薄い歯
エナメル質が薄いと中にある象牙質が透けてみえます。象牙質は文字通り、象牙色で少し黄色みががっている部分です。
そのため、歯の表面であるエナメル質を白くしても象牙質が透けてみえると歯が黄色にみえてしまいます。
・金属が原因で色がついている歯
歯に金属の詰め物や被せ物をしていると、金属のイオンが溶けて歯が変色する可能性があります。
このように金属が原因で変色している箇所は、金属を外して白い詰め物や被せ物に交換するか金属色を隠す歯のマニキュアを塗布することで周りの歯の色に合わせることが可能です。
・もう既にある程度白い歯
過去にホワイトニングをしたことがあり、既にある程度白い歯ですと効果がでにくいです。ホワイトニングをしてから時間が経っていると、ご自身の歯に見慣れてしまい歯に色がついて見えている可能性があります。
どうしても気になるときには、歯科医院で歯の色を測ってもらってください。シェードガイドと呼ばれる歯の色を測るガイドと見比べてB1程度の白さがありましたら、それ以上白くするのは難しいかもしれません。
■ホームホワイトニングとオフィスホワイトニングの違いとは?

ホワイトニングには自宅で患者さまご自身でおこなうホームホワイトニングと、歯科医院で歯科医師や歯科衛生士がおこなうオフィスホワイトニングの2種類があります。
・ホームホワイトニング
ホームホワイトニングとは、患者様がご自身で自宅でおこなうホワイトニングです。
主に歯科医院でホワイトニング用のトレーを製作し、ホワイトニング剤を購入して使います。市販品もありますがお口の中で何度も使用するものですので、できるだけ歯科医院での購入がおすすめです。
・ホームホワイトニングのメリット
- 自宅で好きな時間におこなえる
- ホワイトニング剤が低濃度で痛みがでにくい
- コストが安い
・ホームホワイトニングのデメリット
- 地道に続ける必要がある(即効性はない)
- 効果がではじめるのに2週間ほどかかる
・オフィスホワイトニング
オフィスホワイトニングとは歯科医院で歯科医師や歯科衛生士に施術してもらうホワイトニングです。
ホームホワイトニングよりも濃度の高いホワイトニング剤を使用して施術するため、イベントなどを予定していてすぐに効果を感じたい方におすすめします。
・オフィスホワイトニングのメリット
- 効果がでやすい(即効性がある)
- 歯科医師や歯科衛生士といった国家資格保持者に施術してもらえる
- 通院するため虫歯などのトラブルをみつけやすい
・オフィスホワイトニングのデメリット
- コストが高い
- 元の色に戻るのが早い
- ホワイトニング剤の濃度が高いため知覚過敏になりやすい
- お口の中の状態によっては施術できない
■歯が白くならないからといって過剰なホワイトニングは危険

ホワイトニングで歯が白くならないからといって過剰におこなうと危険です。
ホワイトニングは薬剤を使用して歯を白くします。そのため、過剰にホワイトニングをおこなうと薬剤の影響で知覚過敏が起きやすくなるのです。
■テトラサイクリン歯って何?

テトラサイクリン歯とはテトラサイクリン系の抗生物質をしようして、変色した歯です。テトラサイクリン系の抗生物質は多量に服用すると、歯がグレーのようなくすんだ色になります。
そのため、妊婦や歯の形成期である12歳くらいまでの子どもはテトラサイクリン系の抗生物質は避けるようにしましょう。
・テトラサイクリン歯は白くできないの?
テトラサイクリン歯はホワイトニングで白くすることは難しいです。しかしながら、「ラミネートベニア」を使用すれば歯の表面を白くすることができます。
ラミネートベニアとは、歯の表面を薄く削って、そこにセラミックを貼り付ける治療です。イメージとしてはネイルチップの歯バージョンとなります。
・ラミネートベニア以外のテトラサイクリン歯を白くする方法
ラミネートベニアは周りの歯に合わせてキレイな歯を作れますが健康な歯を削り、コストも高いです。そのため、歯のマニキュアを使うという方法もあります。
ラミネートベニアの10分の1ほどのコストで施術できますので、とりあえずはマニキュアをして後々ラミネートベニアにすることも可能です。
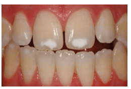
■ホワイトニング中に起こるホワイトスポットって?

ホワイトニング中に起こるホワイトスポットとは、エナメル質の一部が白くまだら模様のように濁っている症状です。
・ホワイトスポットはホワイトニングが原因?
ホワイトスポットはホワイトニングが原因ではなく、歯のエナメル質が作られるときになんらかの原因で部分的に成長に影響があってできるものです。
そのため、ホワイトニングでまだら模様になっていた部分が目立っている状態です。最初は気になるかもしれませんが、徐々に周りの色と馴染んで目立たなくなりますので、ご安心ください。
■まとめ
ホワイトニングは一回やれば、すぐに歯が白くなるわけではありません。特に、ホームホワイトニングは薬剤の効果がおだやかなものを使用するため、少しずつ効果がでてきます。
また、どんな歯でもホワイトニングの効果があるわけではないため施術前には歯科医師や歯科衛生士によくご相談くださいね。ホワイトニングは自費診療のため、コストがかかる治療です。
そのため、患者さまご自身が安心して通院できる歯科医院で受けることをおすすめします。キレイな白い歯と自然な笑顔で楽しく過ごしましょう。
こちらの記事もおすすめ:ホワイトニングで起こりやすいトラブルとは?原因や防ぐ方法を紹介
