こんにちは北戸田coco歯科です!
歯磨きをしようとして子供の口の中を見ると歯ぐきから膿が!こんな状態になっていたら心配になりますよね。
原因はストレスによるものやお口のトラブルなどさまざまです。本記事では、子供の歯ぐきから膿が出る原因や治療方法などについて解説します。
武蔵浦和近辺にお住まいの方でお子様の歯医者をお探しの方。
北戸田COCO歯科では、お子様の虫歯治療や小児矯正など様々な治療に対応しており、武蔵浦和COCO歯科でも同様の診療を行なっております。
お子様に寄り添った治療を心がけていますので、まずはお気軽にご予約ください!
>>武蔵浦和COCO歯科はこちら🦷
目次
■子供の歯ぐきから膿が出る原因

子供の歯ぐきから膿が出る原因は、以下の通りです。
- 免疫力の低下
- ヘルペス性歯肉口内炎
- フィステル
- 萌出性膿疱
- 歯肉炎・歯周炎
・免疫力の低下
体調不良やストレスの影響によって免疫力が低下すると、お口の中の細菌が繁殖しやすくなります。それにより、歯ぐきが炎症を起こして膿が出ることがあります。
子供はストレスとは無関係と思われがちですが、入学やクラス替えなどでストレスを抱えてしまうことも。ストレスが緩和されたり体調が回復すれば歯ぐきの腫れがおさまることが多いです。
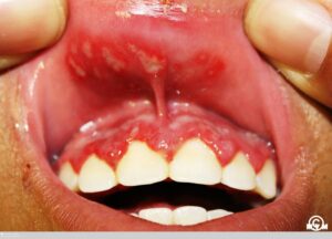
・ヘルペス性歯肉口内炎

出典:PCDS
ヘルペス性歯肉口内炎とは、単純性ヘルペスウイルスの感染で発症する口内炎の一種です。
歯ぐきやお口周りに水疱が現れるのが特徴で、倦怠感や発熱、リンパの腫れなどが見受けられます。
生後6ヶ月~3歳頃の子供によく発症し、一度感染すると免疫力の低下とともに再発を繰り返すことがあります。
ストレスや傷を負ったときにできる口内炎とは別物です。食器や使用後のタオルからも感染する可能性があるため、感染経験のある人は子供に感染させないように十分注意しましょう。
・フィステル
歯ぐきにできるニキビのようなもので、「瘻孔(ろうこう)」とも呼ばれています。これは、「根尖性歯周炎(こんせんせいししゅうえん)」によって引き起こされます。
虫歯が神経まで到達したときや過去に治療した歯が再感染した際に、歯の根っこの部分に膿の袋がたまり、外に排出しようとして歯ぐきにニキビのようなできものが生じてしまうのです。
痛みがないため気づきにくいですが、丁寧に歯磨きを行っても自然に治ることはありません。
また、フィステルを潰してしまうと細菌が侵入する可能性があり、症状を悪化させてしまいます。放置すると周囲の歯にも悪影響を与えるため、早めに歯科医院を受診しましょう。
・萌出性膿疱
萌出性膿疱(ほうしゅつせいのうほう)とは、子供の歯の生え始めや生え変りの時期に歯ぐきにできる水疱のようなものです。
中には血が溜まって黒っぽくなることもあります。
通常、痛みもなく歯が生えれば自然に治ることがほとんどです。しかし、手や舌で刺激すると症状が悪化し、痛みを伴う可能性があります。
・歯肉炎・歯周炎
歯肉炎や歯周炎は、お口の中の細菌が原因で引き起こされる歯ぐきの炎症です。
痛みといった自覚症状がないため、気づいたら発症しているケースも少なくありません。歯ぐきに膿が出る可能性がある歯周炎・歯周炎には、以下の4種類があります。
- 萌出性歯肉炎:乳歯から永久歯への生え変わりの時期に、歯磨きが不十分な場合に起こります。
- 不潔性歯肉炎:歯磨きが不足し、歯ぐきに汚れが溜まると起きます。
- 思春期生歯肉炎:思春期のホルモンバランスの影響によって引き起こされます。
- 侵襲性歯周炎(若年性歯周炎):10~20代の若い人に見られる歯周病。悪化しやすく進行すると歯を支えている骨が溶けて歯が抜け落ちてしまうことも。
歯周炎や歯周病を放置すると痛みが出たり歯を失ったりする原因になるため、早めに歯科医師に相談しましょう。
■子供の歯ぐきに膿みが出たときは?

子供の歯ぐきに膿が出たときは、早めに歯科医院に受診しましょう。
なぜなら、膿が出ているということは、強い炎症が出ている証拠だからです。また、それが歯磨き不足によるものなのか、萌出性膿疱によるものなのか、保護者の方が判断するのは困難になります。
歯ぐきの炎症や痛み、膿が出るなど気になる症状があれば、歯科医師に相談しましょう。
また、予防のためにも普段から仕上げ磨きの際に子供のお口の中をチェックし、定期的に歯科医院に受診することをおすすめします。
■歯ぐきから膿が出たときはどんな治療をする?

歯ぐきから膿が出た場合は、まず視診や触診を行います。
必要に応じてレントゲン撮影を行い、歯の根っこの先に透過像の有無を確認してから、以下のような治療を行うのが一般的です。
・投薬
ヘルペス性歯肉口内炎は、塗り薬や抗ウイルス薬が処方されることがあります。
ただし、ヘルペス性口内炎ができたら、歯科医院ではなくかかりつけの小児科や耳鼻咽喉科を受診し、適切に対処してもらいましょう。
・クリーニング
歯肉炎の場合は、歯ぐきの健康を回復させるためにクリーニングを行うことがあります。クリーニングでは、専用の器具を使って溜まった歯垢や歯石を取り除き、お口の中を清潔に保ちます。
また、虫歯予防に効果的なフッ素塗布も行うこともあります。3ヶ月に1回は定期的にクリーニングを受けて、歯や歯ぐきのトラブルを予防しましょう。
・歯磨き指導
歯ぐきの健康を守るためにも、日々の歯磨きはとても大切です。
歯磨き指導では、歯科医師または歯科衛生士による歯磨きや仕上げ磨きの方法などアドバイスを受けることが可能です。
・根管治療
フィステルができている場合は、根管治療が必要になります。根管治療とは、歯の内部にある神経と血管が通っている管をきれいに掃除することです。
それにより、感染の原因となる細菌や炎症を根本的に取り除くことができます。
子供の根管治療は以下のような流れで行うのが一般的です。
①まず麻酔をして歯を削り、歯の内部の神経を取り除きます。
②次に歯の内部を専用の器具できれいに掃除します。炎症がなくなるまで2~3回ほど行うことが多いです。
③最後に歯の内部に薬を詰めて、銀歯やプラスチックの詰め物を詰めます。
参考:日本歯内療法学会
■すぐに歯科医院に受診できないときの対処法

万が一、すぐに歯科医院に受診できないときは、症状に合わせて以下の対処法を試してみましょう。
・丁寧な歯磨き
まずは、仕上げ磨きを丁寧に行ってお口の中を清潔に保ちましょう。
正しい磨き方がわからないときは、歯科医師または歯科衛生士から歯磨き指導を受けることができます。
歯磨きのポイントは以下の通りです。
・やわらかい歯ブラシを選ぶ
硬い歯ブラシは歯や歯ぐきを傷つけることがあるため、やわらかい歯ブラシを選びましょう。
・フッ素入りの歯磨き粉を使用する
歯磨き粉は年齢に合わせたフッ素入りのものがおすすめです。適量に歯磨き粉を歯ブラシにつけましょう。
・歯ブラシを45度の角度であてる
歯ブラシを45度の角度で歯と歯ぐきの境目にあてて、やさしく小刻みに動かしましょう。
・子供用のフロスを使用する
歯と歯の間の汚れは歯ブラシでは届きにくい箇所です。汚れを除去するためには、子供用のフロスがおすすめです。
・痛み止めの使用
痛みが強く眠れないという場合は、小児用の痛み止めの使用も有効です。ただし、小児用の痛み止めは、年齢に適したものを選び必ず用法用量を守りましょう。
・冷やす
痛みや腫れがある場合は、冷やしタオルや冷却シートを使用すると、症状が軽減されることがあります。
ただし、直接肌に触れると冷やしすぎてしまい、症状が悪化する可能性があります。必ず布で包み、適度な間隔をおいて冷却しましょう。
■まとめ
子供の歯の健康を守るためにも、免疫力の低下やストレスに注意し、歯周炎にならないように歯磨きを丁寧に行うことが大切です。
また、子供の歯ぐきから膿が出た場合は早めに歯科医院を受診し、適切な治療を受けましょう。
当院では小児歯科にも力を入れております。女性の医師も在籍しておりますのでお子様のお口の中で気になることがあればお気軽にご相談ください。
こちらの記事もおすすめ:小児歯科の治療にレントゲンは必要?安全性について解説
