こんにちは北戸田coco歯科です!
「子供の歯が白く濁っていて歯磨きしても落ちない。これは何?」
「歯の白濁は治療すべき?」
子供の歯が白く濁っていると心配になりますよね。主な原因は初期虫歯が考えられます。
初期虫歯は放置すると進行するリスクがあるため、適切な対処が必要です。そこで今回は歯の白濁とは何か、原因や対処法について解説します。
武蔵浦和近辺にお住まいの方でお子様の歯医者をお探しの方。
北戸田COCO歯科では虫歯治療始めとする一般歯科の他にも小児矯正や噛み合わせ治療など、様々な治療に対応しており、武蔵浦和COCO歯科でも同様の診療を行なっております。
お子様でも楽しみながら通える院内になっておりますので、まずはお気軽にご予約ください!
>>武蔵浦和COCO歯科はこちら🦷
目次
◽️子供の歯が白濁している!考えられる原因とは

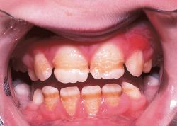
子供の歯が白く濁っていたり、白や黄色の斑点がある状態を「白濁(はくだく)」や「ホワイトスポット」と言います。
痛みや違和感などは生じませんが、前歯の白濁は目立ちやすいです。原因は初期虫歯・エナメル形成不全・歯のフッ素症の3つが挙げられます。
一つひとつ詳しく説明していきますね!
・初期虫歯
子供の歯が白濁する主な原因は、初期虫歯です。虫歯というと「歯に黒い穴が空く」イメージがありますが、初期の段階は歯が白く濁って見えます。
そもそも虫歯とは、歯に付着した歯垢の中に存在する虫歯菌が出す酸によって歯が溶けてしまう病気のことです。エナメル質は人体の中で最も硬い組織ですが、酸に弱い性質があります。
酸にさらされることにより、歯の表面からカルシウムやリンなどが溶け出した状態を「脱灰(だっかい)」と言い、歯の光沢が失われ白く濁ってしまうのです。

脱灰した状態を放置するとさらにエナメル質が溶けて、歯に黒い穴が空き本格的な虫歯になります。
しかし、脱灰したからといって虫歯になったというわけではなく、再石灰化により失われたカルシウムやリンを取り戻すことで改善することがあります。
・エナメル質形成不全
エナメル質形成不全とは、歯の表面のエナメル質が何かしらの原因でうまく作られなかった状態のことです。
遺伝による原因と後天的な原因があり、前者は両親のどちらかにエナメル形成不全がある場合、引き継がれる可能性があります。
全ての乳歯と永久歯にエナメル形成不全が起こるのが特徴です。

参考:https://en.wikipedia.org/wiki/Enamel_hypoplasia
後者は、妊娠中の栄養不足や病気などが原因で、歯の成長が妨げられることにより起こります。
また、乳歯の外傷によって後続の永久歯に影響が及ぶことで白濁することもあります。
エナメル形成不全は、6歳臼歯(第一大臼歯)と前歯に見られることが多いです。
一般の方はエナメル質形成不全を見つけることは難しく放置してしまうと虫歯になりやすいため、歯科医院での定期検診を欠かさないようにしましょう。
・歯のフッ素症
フッ素を過剰に摂取をし続けると、歯が白く濁ったり褐色の斑点ができたりすることがあります。
永久歯が形成される時期(生後~8歳頃)に、過剰なフッ素を含む飲み水を長期間摂取することで歯の「フッ素症」が生じると言われています。

出典:KAREX
しかし、国内の水道水はフッ素濃度は適切に管理されているため、通常の生活で歯のフッ素症の心配はありません。
歯磨き粉に含まれるフッ素や歯科医院のフッ素塗布も、フッ素症のリスクが低いので安心して利用できます。
しかし、井戸水や一部の海外の水道水は、フッ素濃度が高い水準で含まれている可能性があるため海外生活をしていたという方は稀にフッ素症がみられることがあります。
◽️白濁していた場合は治療が必要?

白濁のみの状態は、歯を削ったり詰めたりする必要はありません。
ただし、虫歯になりやすいため歯科医院で定期的にフッ素塗布を行い、再石灰化を促し、歯質を強化する必要があります。
また、カルシウムやリンが含まれている「MIぺースト」を塗布することで再石灰化が促進され、白濁が目立ちにくくなる可能性もあります。

出典:GC
エナメル質形成不全で色が気になる場合や歯が欠けている場合は、コンポジットレジン修復で回復することも可能です。
これは、軽度の虫歯治療によく使われる治療法で、ほんの少し歯を削り樹脂の素材を詰めて補強する処置のことです。
しかし、樹脂の部分は色の濃い飲食物の摂取で茶色く変色するため、定期的に詰め直す必要があります。
◽️白濁してしまった場合の対処法

子供の歯は大人の歯と比べると虫歯の進行が早いため、白濁が見つかったら適切に対処する必要があります。
・歯科医師に相談する
まず子供の歯に白濁が見つかった場合は、歯科医師に相談することをおすすめします。
なぜなら、白濁の原因を特定することで、適切な治療方法を選択できるからです。
歯科医院は痛みがなくても通院できます。また、子供が早い段階から歯科医院に慣れることで、将来的な虫歯のリスクを軽減できます。
・フッ素入りの歯磨き粉の使用する
フッ素には再石灰化の効果が期待できます。フッ素入りの歯磨き粉を使用することで、歯質強化や虫歯菌の活動を抑制し、虫歯予防につながります。
以下の表を参考に、子供の年齢に合わせたフッ素濃度の歯磨き粉を使うようにしましょう。
|
年齢 |
フッ素濃度 |
|
6ヶ月~2歳 |
500ppm(泡状のものは1,000ppm) |
|
3~5歳 |
500ppm(泡状、モノフルオロリン酸ナトリウムは1,000ppm) |
|
6~14歳 |
1,000ppm |
|
15歳以上 |
1,000~1,500ppm |
・仕上げ磨きをしっかり行う
初期虫歯が進行するのを防ぐためにも、保護者が仕上げ磨きを丁寧に行うことが大切です。
歯と歯の間、奥歯の溝、歯と歯ぐきの境目は磨き残しが発生しやすい箇所になります。
歯ブラシはもちろんのこと、子供用のデンタルフロスも積極的に使用することで、より効果的にケアができます。歯に白濁がなくても小学生までは保護者の方が仕上げ磨きを行うことをおすすめします。
デンタルフロスの使い方はこちらを参考にしてみたください。

出典:歯みがkids
・食生活の見直し
白濁が見つかった場合は、食生活も見直してみましょう。砂糖が多く含まれる飲食物の摂取を控え、カルシウム、リン、ビタミンDを豊富に含む食品を選ぶことが重要です。
たとえば、乳製品(牛乳・ヨーグルト・チーズ)、小魚、アーモンド、卵などは、歯や骨の成長をサポートする栄養素が豊富に含まれています。
栄養バランスの取れた食事を摂るように心掛けましょう。
◽️お子様の歯を守るためにできること
子供の歯を守ることは保護者として当然のことと考える方も多いです。ここでは、子供の歯を守るためにできることを3つ紹介します。
・食後は歯磨きをする
虫歯予防のためにも、食後は歯磨きを行いましょう。お口の中の食べかすは、虫歯菌のエサになります。
一人磨きができる子供でも保護者が丁寧に仕上げ磨きを行うことが大切です。
その際にフッ素入りの歯磨き粉を使用すると、虫歯予防の効果が期待できます。
・だらだら食べをしない
だらだら食べとは、3食の食事以外に不規則に間食をすることを指します。食後のお口の中は、一時的に酸性の状態になりますが、唾液の作用により中和されます。
その時間が約1時間と言われており、その間に間食をするとお口の中が常に酸性の状態になります。
歯は酸に弱いため、お口の中が酸性状態だと虫歯のリスクが高くなってしまうのです。
また、砂糖が多く含まれている飲食物は、虫歯菌が繁殖しやすくなります。そのため、食事やおやつの時間を決めて、それ以外の時間は摂取をしないようにするなど工夫しましょう。
・定期的に歯科医院に通院する
前歯の白濁は気づきやすいですが、奥歯の白濁は見落としがちです。
放置すると虫歯が進行してしまうため、3ヶ月に1回は歯科医院で検診を受け、クリーニングやフッ素塗布を行いましょう。
万が一虫歯になっても早期に対処できるため、治療が短時間で終わる可能性も高まります。
◽️まとめ
子供の歯の白濁は目立つだけでなく、初期虫歯・エナメル質形成不全・歯のフッ素症などトラブルが起きている可能性があります。
その中でも初期虫歯は放置すると進行するため、早めに適切な対処をすることが重要です。日頃の丁寧な歯磨きと定期的な歯科検診を行い、子供の歯の健康を守りましょう。
当院ではお子様の歯の健診や予防、治療や矯正歯科など幅広く取り扱っております。女性の意思も在籍しておりますので、歯医者嫌いのお子様もぜひ当院へ一度通ってみてください。
皆様のご予約お待ちしております。
こちらの記事もおすすめ:子供の歯ぐきが腫れる原因と対処法を解説!歯医者ではどんな治療?
