こんにちは北戸田coco歯科です。
最近はお口の美容にも力を入れる人が増えたことからホワイトニングをする人が増えました。しかし、中にはホワイトニングをしても歯が白くならなかったという方がいらっしゃいます。
今回はホワイトニングをしたのになぜ歯が白くならなかったのか、いくつか原因をあげて詳しくお話ししていきますのでぜひ参考にしてみてください。
武蔵浦和近辺にお住まいの方でホワイトニングを考えている方。
北戸田COCO歯科では、ホワイトニングを始めとする様々な治療に対応しており、武蔵浦和COCO歯科でも同様の診療を行なっております。
オフィスホワイトニングやホームホワイトニング、デュアルホワイトニングなど豊富なメニューをご用意しておりますので、お気軽にご予約ください!
>>武蔵浦和COCO歯科はこちら🦷
目次
◽️ホワイトニングをしても歯が白くならない原因

ホワイトニングには患者さんがご自宅で行うホームホワイトニングや歯科医院で行うオフィスホワイトニングがあります。
これらのホワイトニングは強い薬剤を使用して歯を漂白するため、現在の歯よりも白くなるのが特徴ですが、中にはホワイトニングをしても効果が感じられなかったという方がいらっしゃいます。
その理由には以下のようなものがあります。
・歯の神経が失活している
歯の神経が失活している場合、歯の色が黒ずんでくるといった特徴があります。
この状態になってしまった歯は通常のホワイトニングをしても白くなりにくいです。
そのため、失活した歯には「ウォーキングブリーチング」といった特殊なホワイトニングを行う必要があります。これについては後ほど詳しく説明していきます。
・歯のステインが表面についている
ホーム・オフィスホワイトニングは薬剤を歯に浸透させ、歯を漂白することで白くしていきます。
しかし、歯の表面に付着したステイン(着色汚れ)が多い場合はうまく薬剤が歯に浸透せずに白くなりにくいこともあります。
ホワイトニングを行う前に必ず歯科医院でクリーニングをしてもらい、表面についているステインを除去してもらってください。
クリーニングにもさまざまな種類があり、スケーリングで歯石や細かいステインを落としたり、エアーフローという細かい粒子でステインを強力に落とす方法などがあります。
・歯の損傷
歯の表面に亀裂や損傷がある場合、ホワイトニング剤が上手く浸透しにくくなり、効果が薄れることがあります。
また、ホワイトニング剤が亀裂に入りこみ知覚過敏のような症状が出ることもありますので、事前に歯科医師にチェックしてもらいましょう。
・テトラサイクリン歯
子供の頃に特定の抗生物質を服用することで歯が変色してしまうことがあります。
この場合は通常のホワイトニングでは白くすることができないため、ラミネートベニアなど他の方法で対処する必要があります。
テトラサイクリン歯については後ほど詳しくご説明していきます。
・適切なホワイトニング剤の使用
ホワイトニング剤にもさまざまな種類があり、歯科医院によって取り扱っているものも変わってきます。
また、ホワイトニングの方法や薬剤の塗布時間によってホワイトニングの効果が変わってきますので、白さを感じられない場合はホワイトニング剤があっていない、塗布時間が短いなどの原因があるかもしれません。
もし施術後に白くなっていない場合は、歯科医院で相談しましょう。
・個人差
人によって歯のエナメル質の厚さは変わってきます。これらの身体の状態で歯が白くなりやすい人もいれば、白くなりにくい人もいらっしゃいます。
歯が白くなりにくい方には濃度の高いホワイトニング剤を使用したり、薬剤の塗布時間を長めにとったり、オフィスとホームを併用したデュアルホワイトニングをおすすめしたりするなど個別に対応していきます。
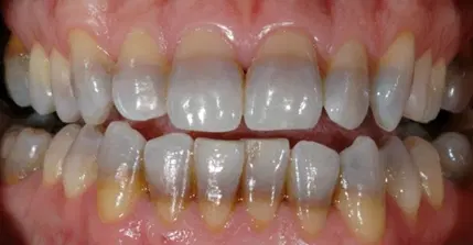
◽️テトラサイクリン歯とは?

出典:Todays RDH
テトラサイクリン歯とは、抗生物質の一種であるテトラサイクリンが原因で歯が変色してしまった状態を言います。
テトラサイクリンは昔から広く使われている抗生物質ですが、妊娠中や8歳未満の子供が服用してしまうと歯の発育に影響を与え、歯が茶色や灰色に変色することがあります。
1950年代はテトラサイクリンを含む抗生物質を子供にも服用させていました。その結果、子供の歯に変色が見られたことから、現在では8歳以下の子供にはテトラサイクリンを服用させないようになっています。
歯のエナメル質がテトラサイクリンと結合し、変色を起こした後は永続的にこの状態になってしまいます。
テトラサイクリン歯の治療には、歯科医が専門的な方法でホワイトニングや審美的な処置を行うことがありますが、完全な回復は難しいことがあります。
テトラサイクリン歯は、変色の問題だけでなく通常の歯よりも弱いといった特徴があります。
そのため、以下の点に注意しましょう。
・酸性の飲み物はなるべく控える(炭酸のジュースなど)
・酸性の食べ物や飲み物を摂取した後はうがいをする
・日頃からフッ素の配合された歯磨き粉を使用する
参考:healthline
◽️テトラサイクリン歯の場合ホワイトニング以外の方法がある?
テトラサイクリン歯を白くする方法としては、主にホワイトニングやラミネートベニアが挙げられます。
しかしテトラサイクリンは着色汚れと違い、濃く変色しているため通常のホワイトニングでは十分な効果が得られないことがほとんどです。
またエナメル質も弱いために、ホワイトニングを長期で行うことで知覚過敏などのトラブルも起きやすいでしょう。
そこで現在日本ではテトラサイクリン歯に対してラミネートベニアで治療することが主流になってきています。
ラミネートベニアとは、歯の表面を削りネイルチップのような薄い人工歯のチップを歯の表面に貼り付ける処置になります。

出典:dentaklinik
健康な歯を大きく削ることなく、見た目をがらりと変えることができるため近年人気の治療法になっています。
しかし、ラミネートベニアは剥がれやすい、自費による治療になるため高額であるなどデメリットの面もあります。
ラミネートベニアを取り扱っている歯科医院も限られますので、まずは事前にしっかりと歯科医師と相談するようにしましょう。
◽️失活歯を白くする方法

先ほどホワイトニングをしても白くならない原因のところで歯が神経を失ってしまった失活歯も白くなりにくいといったお話しをしました。
失活歯は歯髄がなくなるため、歯に血液供給がいかなくなり変色を起こしていきます。そのため失活歯を白くする場合には以下の方法が選択されます。
・ウォーキングブリーチング
ウォーキングブリーチングとは、失活した歯の内部に薬剤を入れて蓋をし、内部から漂白していく処置になります。
主に失活して変色してしまった前歯部分に行われる処置で、前歯の裏側から穴をあけ神経の処置をした後、歯の内部にできた空洞に高濃度の過酸化水素と過硼酸ナトリウムのペーストをいれ漂白していきます。
1〜2週間で中の漂白剤を交換し、それを2〜3回繰り返します。
歯が白くなったあとはコンポジットレジンなどで歯の内部を埋めて綺麗な状態へ戻していきます。
参考:テーマパーク8020
・補綴治療
失活歯には歯冠の修復が考慮されることがあります。冠は詰め物やクラウン(被せ物)などが含まれ、見た目を改善する役割があります。
◽️ホワイトニングの効果が減ってしまう行動

ホワイトニングをしたばかりの頃は白さを感じたのに、すぐに効果を感じなくなったという方は飲み物や普段使用しているものが原因かもしれません。
・色素の濃い飲み物をよく飲む
普段からコーヒーやワインなど色素の強い飲みものを飲んでいる方は注意が必要です。
ホワイトニング直後は歯が不安定な状態で、色素に染まりやすいため色の濃い飲み物は最低でも2週間ほどは控えるようにしましょう。
2週間経った後も、できるだけステインのつきやすい飲み物や食べ物を控えることが白い歯を保つ秘訣になります。
・特定のうがい薬をよく使用している
お口をさっぱりさせてくれ、口腔内の細菌を普段から使用している方も実は歯に色がつく原因になっているかもしれません。
歯科医院でもおすすめしているコンクールなどのマウスウォッシュは高い殺菌効果をもち、歯周病の方も効果的ですが「塩酸クロルヘキシジン」という成分が含まれています。
この成分は虫歯・歯周病対策として効果的な成分であり、歯科治療にもよく使われる薬剤です。また、インプラント手術後の歯周ケアにも効果的でメリットの多い薬剤です。
しかし唯一のデメリットとして、継続的に使うことで、歯の着色汚れに繋がってしまうといった研究結果が出ています。
そのため、毎日使用することで歯が黄ばんできたと感じるかもいるかもしれません。
しかし使用を辞めてしまうのではなく、回数を減らす、定期的にホワイトニングを行うなどして対処するようにしましょう。
・研磨剤のたっぷり入った歯磨き粉を使用している
研磨剤のたっぷり入った歯磨きを使用している方は、研磨剤により歯の表面に細かい傷がつきざらざらになっている状態です。
研磨剤は歯の表面についたステインを除去してくれる効果もありますが、ざらざらになってしまった表面には新たなステインがつきやすくなるといったデメリットもあります。
研磨剤の入った歯磨き粉は着色が気になった時に使うようにして、普段は低研磨の歯磨き粉を使用することをおすすめします。
当院でも低研磨の歯磨き粉をおすすめしておりますので、ぜひ歯ブラシや歯磨き粉について質問があればなんでも聞いてください。
◽️まとめ
今回はホワイトニングをしたけれど白くならなかった原因についてお話ししました。白くならない原因としては歯が失活している、テトラサイクリン歯である、個人差などさまざまです。
歯科医院でホワイトニングをしてみて効果が感じられないと思ったら、他の方法を提案してくれるはずですのでまず一度相談してみましょう。
当院でもホームホワイトニングやオフィスホワイトニング、そしてその2つを併用したデュアルホワイトニングを取り扱っております。
歯を白くしたい!という方はお気軽にご相談ください。
こちらの記事もおすすめ:オフィスとホームホワイトニングの違いは?どっちを選べばいい?
