BLOG 医院ブログ

インビザラインの装着時間が守れないとどうなる?装着を忘れない方法

2025年7月22日

こんにちは北戸田coco歯科です。インビザライン矯正ではマウスピースを1日22時間以上装着する必要があります。ただ仕事やイベントなど…[read more]

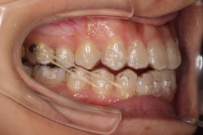
インビザライン中に歯ぐきから出血?6つの原因と放置するリスクについて

2025年7月22日

こんにちは北戸田coco歯科です。インビザライン矯正中に「歯ぐきから血が出た」という症状が見られた場合、心配になったりそのままにして…[read more]

インビザライン矯正の無料相談ってどんなもの?聞いておくべき6つの質問

2025年7月22日

こんにちは北戸田coco歯科です矯正治療を行なっている歯科医院では「無料矯正相談」を設けているところが多く、治療前に歯並びの悩み・矯…[read more]

インビザライン矯正は重度の「叢生(そうせい)」も治せる?

2025年7月22日

こんにちは北戸田coco歯科です。悪い歯並びは専門用語で「不正咬合」と言われており、その種類には出っ歯・受け口などさまざまなものがあ…[read more]

「口ゴボ」はインビザライン矯正で治すことはできる?

2025年7月22日

いつも口で呼吸している、唇を閉じると顎に梅干しのようなシワができるなどの症状がある方は「口ゴボ」になっているかもしれません。 口ゴ…[read more]