こんにちは北戸田coco歯科です。
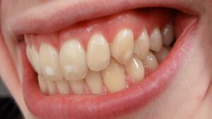
「歯が白く濁っているように見える」、「歯につやが無く茶色く変色している」そのような場合、脱灰している可能性があります。
脱灰は虫歯になる一歩手前の状態で、その原因には歯を磨かずにマウスピースを装着した場合や、装着したまま糖分の入った飲み物を飲んだ場合に起こることが考えられます。
今回はインビザライン矯正中に脱灰してしまったときと対処法、予防法を紹介します。
脱灰を放置してしまうと本格的な虫歯へと移行してしまうために注意が必要です。
武蔵浦和近辺にお住まいの方で、虫歯になりにくいインビザライン矯正をご検討の方。
北戸田COCO歯科では、インビザラインを始めとする様々な矯正治療に対応しており、武蔵浦和COCO歯科でも同様の診療を行なっております。
まずはお気軽にご相談ください。
>>武蔵浦和COCO歯科はこちら🦷
目次
脱灰(だっかい)とは

脱灰と聞いてもよく知らない方も多いでしょう。まずは脱灰について解説します。
脱灰とは「ホワイトスポット」とも呼ばれており、その名のとおり歯が白く濁っている状態になることが多いです。
これは歯の表面のエナメル質が溶けている状態のことを指し、初期虫歯の段階となります。

参考:https://www.healthline.com/health/dental-and-oral-health/white-spots-on-teeth
原因はお口の中にいる虫歯菌が糖分を原料にして出す酸や、酸性の強い飲食物を多く摂取すると、エナメル質からカルシウムやリンが溶け出して脱灰を起こすのです。
反対にカルシウムやリンが歯の表面に戻る状態を「再石灰化(さいせっかいか)」と言います。
これは唾液の中にあるリンやカルシウムが酸性に傾いたお口の中を中和することによって起こります。
歯の表面では繰り返し脱灰と再石灰化が行われているため、脱灰してもすぐに虫歯が進行するものではありませんが、このバランスが崩れると虫歯が進行します。
インビザライン矯正中に「脱灰」してしまった

インビザラインでは以下のことが原因で脱灰する可能性があります![]()
・マウスピースをしたまま糖分の入った飲み物を飲んでいる
・食後、歯を磨かずにマウスピースを装着している
本来なら唾液によって洗い流される食べかすや糖分ですが、マウスピースを装着すると洗い流すことができません。
そのため虫歯菌が好む原料をマウスピースの中に停滞する状態を作り、脱灰を促す可能性があります。
インビザライン矯正中は食後歯を磨いてからマウスピースを装着し、装着中は糖分の入った飲み物ではなく、水にするなど注意が必要になります。
お茶でも構いませんが、歯やマウスピースに着色がつく可能性があるため交換前だけにするなど工夫すると良いでしょう。
インビザライン矯正は脱灰しやすい?

インビザラインはワイヤー矯正と比較しても脱灰しにくい矯正方法です。
ワイヤー矯正では歯の表面に「ブラケット」と呼ばれる装置を歯全体に装着するため、その周囲には汚れが蓄積しやすく脱灰する可能性が高くなります。
ただインビザラインでは歯を動かすために「アタッチメント」と呼ばれる装置を装着することがあります。

この場合は周囲に汚れが蓄積しやすいため、アタッチメントを装着した際は歯磨きをしっかり行うようにしましょう。
インビザライン矯正中は食後歯磨きをしてからマウスピースを装着することと、マウスピースを装着したまま糖分の入った飲み物を避けることが守られていれば、脱灰するリスクを軽減することができます。
関連記事:アタッチメントについて【インビザライン矯正の処置】
脱灰を放置してしまうとどうなる?

脱灰した状態のままにするとどうなるのでしょうか。
脱灰は初期虫歯の状態と解説しましたが、歯の表面では脱灰と再石灰化を繰り返し行われているため自然に治ることがあります。
ただこのバランスが崩れて脱灰が優位になると、歯の表面のエナメル質が溶け出して穴が空きはじめます。虫歯の進行度合いは「C1」と呼ばれています。
この状態では痛みなどの自覚症状はほとんどありません。
そのため「歯が白く濁っている」「歯の表面につやが無い」などの脱灰の症状が見られる場合は放置するのではなく、歯科医師に相談することが望ましいです。
脱灰してしまった場合の対処法

上記で解説したとおり脱灰は初期虫歯ですが、この状態であれば再石灰化を促すことによって修復することが可能です。
ではインビザライン矯正中に脱灰してしまった場合の対処法について紹介します。
・歯科医院でのフッ素塗布
・フッ素配合の歯磨き粉を使用
・食生活の改善
ただ脱灰が優位になりエナメル質に穴が空いた状態は虫歯になるため、再石灰化を促しても無治すことはできません。その場合は歯科医師に相談しましょう。
ではそれぞれ詳しく解説します。
・歯科医院でのフッ素塗布

歯を修復する対処法として一般的なのはフッ素塗布です。フッ素には以下の効果が期待できます。
・歯の再石灰化を促す
・歯質の強化
・虫歯菌の活動を抑制
フッ素には溶け出したカルシウムやリンを歯に戻す再石灰化を促す効果があります。
さらに歯質を強化して酸に溶けにくい状態にし、虫歯菌の活動を抑制することで脱灰を予防することも期待できます。
歯科医院で行われるフッ素塗布は、歯磨き粉に配合されているフッ素よりも濃度が高いものになるため3ヶ月に1度など定期的にフッ素塗布を行うことが多いです。
・フッ素配合の歯磨き粉を使用

参考:https://www.lion-dent.com/client/products/basic/checkup_s.htm
自宅で簡単に行える対処法はフッ素が配合されている歯磨き粉を使用することです。
フッ素には虫歯予防と脱灰した歯の再石灰化を促します。
現在ではほとんどの歯磨き粉にフッ素が1000~1450ppmほど配合しており、ドラッグストアでも簡単に手に入れることができます。
市販の歯磨き粉の虫歯予防成分には以下のものが挙げられます。
・フッ化第一スズ
これらの成分が配合されている歯磨き粉を上手く利用し、再石灰化を促しましょう。なお歯と同じ成分でできているハイドロキシアパタイト配合の歯磨き粉も再石灰化を促すことができます。
・食生活の改善

脱灰は虫歯菌が糖を原料にして作り出した酸が原因となりますが、酸性の食べ物によっても脱灰することがあります。
たとえば柑橘類や酢の物、炭酸飲料などが挙げられ、これらの食べ物を多く摂取するとお口の中が酸性に傾き、脱灰することがあります。
なお食事の回数が多いと唾液による再石灰化が追いつかなくなります。脱灰した場合は食生活の見直しも望ましいでしょう。
脱灰させないためにできること

歯の表面で行われている脱灰と再石灰化のバランスが崩れると、脱灰が優位になります。
そのため両者のバランスを保つことが重要です。インビザライン矯正中に脱灰させないためには以下の項目を念頭におくと良いでしょう。
・マウスピースは歯を磨いてから装着する
・マウスピースを装着したまま糖分の含まれた飲み物は避ける
・間食をなるべく避ける
・歯磨きのときはデンタルフロスや歯間ブラシなど併用する
・フッ素入りの歯磨き粉を使用する
・歯科医院での定期検診を受ける
インビザライン矯正はマウスピースの装着時間が1日20時間以上と決められているため、食事と歯磨き以外は装着したまま過ごすことになります。
そのため食後に歯磨きをしてから装着しないとマウスピースの中に歯垢が停滞したままになり、脱灰が優位になる原因となります。
歯磨きの際は、歯と歯の間や歯と歯肉の間、奥歯の噛む面に気をつけながら磨きましょう。
なおデンタルフロスや歯間ブラシを併用すると歯垢除去率は高くなります。
歯磨き粉にはフッ素入りを使用すると虫歯予防にもなります。また歯科医院での定期検診も忘れずに受けることをおすすめします。
ワイヤー矯正ではわざと歯の表面を脱灰させます

ワイヤー矯正とは歯の表面に「ブラケット」と呼ばれる装置をつけて、そこにワイヤーを通して歯を動かす矯正方法です。
ブラケットをつける際に、歯の表面をわざと脱灰させる処置を行います。
これは歯の表面を粗造にし、接着剤とブラケットを強力につけるために必要なことです。そのことを専門用語で「エッチング」または「酸処理」と言います。
ただ歯の表面は脱灰と再石灰化を繰り返すもの。ワイヤー矯正で行われた脱灰も再石灰化するため、ブラケットを外した際には元の状態に戻ることが多いです。
当院のインビザライン矯正

当院では、目立たないマウスピース矯正のインビザラインはもちろん、ワイヤー矯正や小児矯正にも力を入れております。
豊富な矯正メニューの中から患者様一人一人にあった方法をご提案させていただきます矯正治療を考えている方はお気軽にご相談下さい。
当院の矯正治療については以下のリンクからチェックしてみてください![]()
まとめ
今回はインビザライン矯正中の脱灰について解説しました。
脱灰は歯の表面にあるエナメル質のカルシウムとリンが溶け出した状態のことです。ただ歯の表面は脱灰と再石灰化を繰り返し行われているため、脱灰したらすぐに虫歯になるものではありません。
インビザライン矯正中は注意事項をしっかり守って虫歯にならないようにしましょう。
