BLOG 医院ブログ

ホワイトニングで起こりやすいトラブルとは?原因や防ぐ方法を紹介

2023年7月1日

こんにちは北戸田coco歯科です! 歯を白くしたいと思い、ホワイトニングを選ぶ方は増えています。しかし、正しい知識がないまま誤っ…[read more]

オフィスとホームホワイトニングの違いは?どっちを選べばいい?

2023年6月26日

こんにちは北戸田coco歯科です! 歯科医院で行う代表的なホワイトニングは、オフィスホワイトニングとホームホワイトニングの2種類…[read more]

歯がしみるのはなぜ?原因と4つの対処法について

2023年5月11日

こんにちは北戸田coco歯科です! 食事や歯磨きをしているときに、突然歯が「キーン」としみたことはありませんか? その…[read more]

知覚過敏で歯がしみる!歯科医院で行う治療方法と自宅でできる対策

2023年4月30日

こんにちは北戸田coco歯科クリニックです! 冷たい飲食物を摂取したときや、歯ブラシの毛先が触れたときなどに「キーン」と痛みを覚…[read more]

器具の滅菌について

2023年2月10日

YAHOOニュースで取り上げらえたタービン類の滅菌について 昨日の、Yahooニュースで、歯科にかかわる記事が載っていました。 h…[read more]

拡大鏡

2023年2月10日

こんばんは^_^ 田口です。 今日ご紹介したいのはこれです! 一般的にはルーペなどと呼ばれたりもしますが、診療の際につける拡大…[read more]

さっそくですが、

2023年1月31日

こんにちは!副院長の田口です! さっそくですが、これのおかげか虫歯知らずな私が、学生時代から愛用している歯ブラシを紹介したいと思いま…[read more]

親知らず

2020年2月29日

北戸田COCO歯科 副院長 田口です 先日親知らずの抜歯を行いました 皆さんは歯に番号がついてるのをご存知でしょうか?? 前歯から順番…[read more]

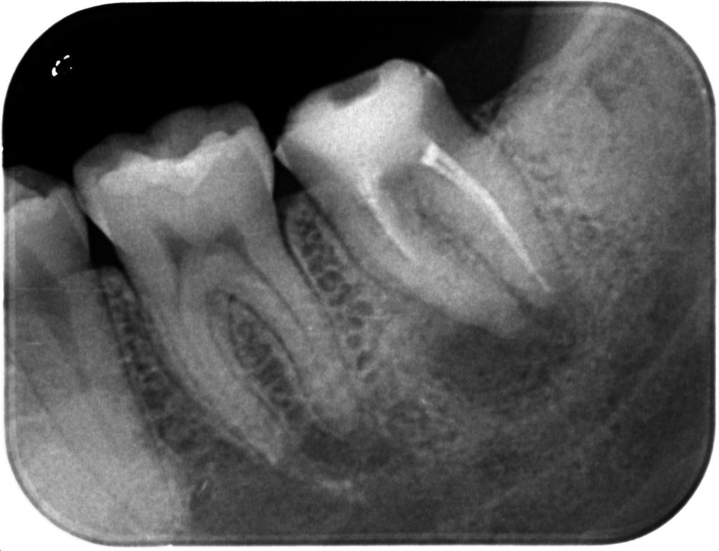
噛むと痛い。根っこの中の病気って??

2019年10月24日

北戸田COCO歯科 副院長田口です最近はめっきり寒くなり、秋らしくなってきましたね 寒いけど、コートを着るか着ないか迷うくらいのこの季…[read more]

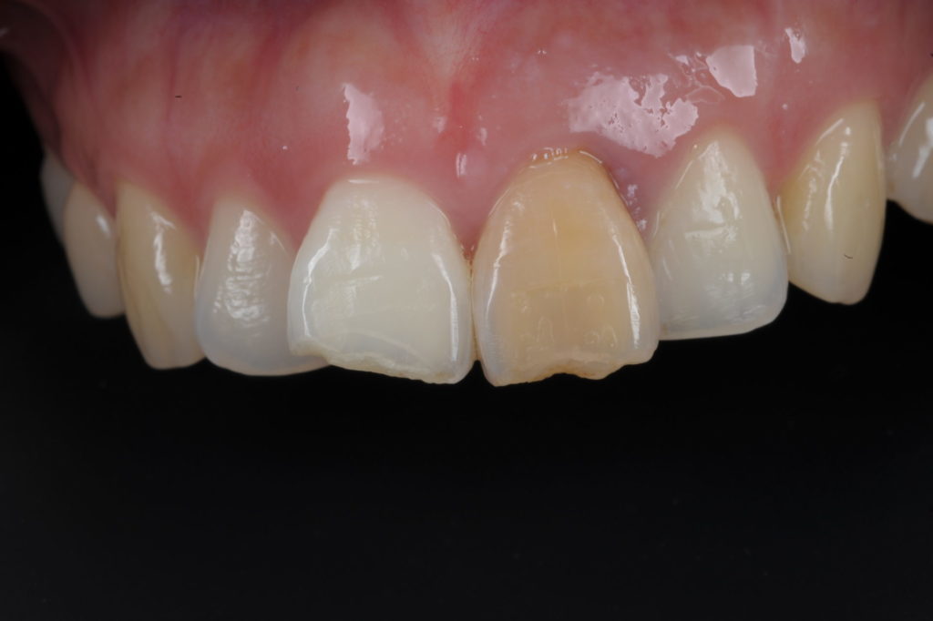
神経が死んでしまった歯の色が気になります。

2019年10月15日

こんにちは北戸田COCO歯科です 先日の台風は雨風がとても強く不安な夜でしたね。幸い、この辺りは何事もなくでしたが、被害にあわれた方も…[read more]