BLOG 医院ブログ

妊娠中の歯科検診

2019年10月1日

北戸田COCO歯科です! 本日2回目の投稿になります 最近、妊娠中の患者様が検診によくいらっしゃいます 妊娠するとホルモンバランスが大…[read more]

ホワイトニングキャンペーン

2019年9月11日

こんにちは 北戸田COCO歯科副院長 田口です COCO歯科では、ただ今ホワイトニングのキャンペーンを行っています!! ホワイトニング…[read more]

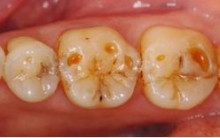
歯が溶ける・・・酸蝕症って??

2019年6月24日

こんにちは北戸田COCO歯科 副院長田口です 暑くなってきて、冷たい飲み物がますますおいしく感じますよね そんな時、しみたり、歯の表面…[read more]

インプラント

2019年6月3日

北戸田COCO歯科 院長田口です。 本日はインプラント治療について少し説明をさせていただきます。   インプラント治療が初め…[read more]

2019年4月22日

北戸田COCO歯科 副院長 田口です すっかり温かくなってきて、今日はもう暑いくらいですね   今日は、先日お話しした放射線…[read more]

歯科医院でのメンテナンスの機械って清潔なの??

2019年4月18日

北戸田COCO歯科 副院長 田口です ブログに書きたいことがたくさんあるのですが、なかなか時間を見つけることができず、書きたいことと、…[read more]

リテーナーブライト

2019年4月8日

北戸田COCO歯科 副院長 田口です 花粉症が重症で毎日つらいです、、、   さて、本日は『リテーナーブライト』という商品を…[read more]

歯周病の治療って??

2018年8月31日

  こんにちは副院長の田口です 八月も今日で終わりですね....1日、1日があっという間です   さて、先日歯周病…[read more]

歯医者さんで歯周病といわれたあなた

2018年8月25日

  こんにちは北戸田COCO歯科 副院長田口です今日はまた一段と暑さが厳しく汗をかきながら診療しています 患者さんのキャンセ…[read more]

保険診療?自費診療?

2018年8月24日

こんにちは 院長の田口です   今回は、保険診療と自費診療についてお話ししたいと思います   皆さん歯科医院に行っ…[read more]